近日,中国医科大学附属第一医院血管外科采用"体外开窗"及"限制性释放"技术,成功为一名主动脉弓部置换术后再发肾动脉领域破裂性腹主动脉假性瘤患者进行手术,中国医大一院在腔内血管外科治疗方面已达到新的高度。
患者于两个月前进行了主动脉弓部手术后,术后随访时发现腹主动脉假性瘤,并了解到动脉瘤将逐渐增大并导致血管破裂及十二指肠穿孔。在寻遍了北京、上海等地的医院后,终因手术风险高,手术难度大及远期预后效果不佳等原因,使其一筹莫展。后得知中国医大一院血管外科辛世杰教授在主动脉疾病治疗领域上具有丰富的经验,特慕名来院治疗。
术前3D打印模型
辛世杰教授与张健教授等经过仔细分析患者主动脉CT影像资料后,发现该患者不适合一般的血管腔内修复术进行治疗。这意味着如果按照常规的血管腔内修复术治疗,患者会损失脏器的供血,出现肾功不全,甚至急性肾功能衰竭。
更为棘手的是,患者七年前由于心梗行冠脉支架植入术,六年前因主动脉弓部动脉瘤行主动脉弓置换术,术后双侧锁骨下动脉均发自升主动脉,导致手术入路很困难。而选择开放手术,无法重建脏支血管,手术难度异常之大、创伤很大,死亡率及术后并发症发生率较高;而选择腔内修复,患者腹主动脉瘤解剖条件几乎不具备放置常规支架的条件,加上既往心外手术,心功能较差、糖尿病等,手术风险更大。
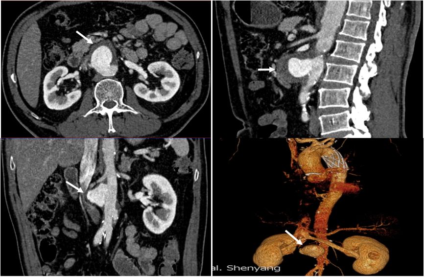
箭头所指:肾动脉领域腹主动脉瘤
针对患者的具体病情,考虑患者的要求,为减少开放手术对患者的损伤,同时保证重要脏器分支的血流灌注,辛世杰教授及张健教授经过仔细研究讨论后,决定创新性地为患者实施腹主动脉瘤覆膜支架体外"开窗"和限制性支架释放术。
术前,辛世杰教授根据主动脉CT图像,运用3D打印技术并通过软件精确测量和反复研究动脉瘤形态,对覆膜支架的口径、长度、"开窗"位置、"窗口"大小、分支支架的选择等都做了精确的测量和准备。
术前造影
最终,历经8小时,经过"体外开窗"、"手工缝制"、"细致回收"、"精确定位"等精细复杂手术过程,完全封堵腹主动脉假性动脉瘤,完好地保证了腹腔干动脉、肠系膜动脉和肾动脉等重要脏支的血攻,不影响内脏器官的功能。术后患者恢复良好,一周出院。
术后造影显示腹主动脉瘤消失,各分支内脏动脉显影良好,无内漏,表明手术成功
这一创新性技术突破原有僵化思维模式,个体化改善支架形态结构,具有现代国际水平,为患者带来极小的创伤和更大的获益。这项技术的成功开展,标志着中国医科大学附属第一医院血管外科在主动脉腔内治疗技术取得新的突破,为诊治疑难危重主动脉疾病打下坚实的基础。
开窗技术是按分支血管开口在主动脉上的位置,通过手术方式分别在覆膜支架上开不同的"窗口",让血液通过"窗口"进行流动,从而保证脏支血管的血流,是目前世界领先的新技术。
该技术对内脏区血管的定位要求极高,开窗的位置和患者体内血管的位置必须分毫不差。否则,支架释放后会立刻造成患者内脏缺血等严重后果。
限制性释放技术是指开窗支架释放过程中,不将支架完全打开,使其具备一定的调整空间。待支架位置定位准确后,再完全释放支架的技术。
关注"中国医科大学招就处"头条号,获取更多精彩资讯
文章素材来源:中国医科大学附属第一医院官微
版权声明:我们致力于保护作者版权,注重分享,被刊用文章【中国医科大学医院(8小时完成高危病症手术)】因无法核实真实出处,未能及时与作者取得联系,或有版权异议的,请联系管理员,我们会立即处理! 部分文章是来自自研大数据AI进行生成,内容摘自(百度百科,百度知道,头条百科,中国民法典,刑法,牛津词典,新华词典,汉语词典,国家院校,科普平台)等数据,内容仅供学习参考,不准确地方联系删除处理!;
工作时间:8:00-18:00
客服电话
电子邮件
beimuxi@protonmail.com
扫码二维码
获取最新动态
