
2021年末,新冠肺炎疫情突袭古城西安。西安交通大学第二附属医院勇于承担、迎难而上,于12月24日连夜派出整建制医疗队一队第一时间驰援胸科医院,连夜接管新冠十一病区。医疗队在最短的时间内完善规章制度,理顺流程,明确职责,充分发挥党支部战斗堡垒作用和党员先锋模范作用,在24小时内即完成病区患者收治任务,床位满负荷运转。
2021年12月27日下午,受国家工作组医疗救治组、陕西省卫生健康委指派,巩守平书记以援鄂医疗队管理人员为基础,组成8人管理团队在2小时内进驻市人民医院航天城院区,接管医院业务管理工作。24小时内建立了以巩守平同志任总指挥的联合指挥部,按照战时要求,在收治患者的同时,建立管理制度,优化救治流程,协调医疗队进驻,明确全院“一条心,一盘棋,一切服从指挥,一切为了人民服务”的工作要求。开展了时间最短,任务最重,要求最高,患者最需要,组织最期待,社会最关注的夜以继日的新冠患者救治工作。连续5天每日收治患者超过100人,最高单日收治178人,5天累计收治患者695人;协调完成25个医疗团队,近2000人员的入驻;梳理制定117项制度、流程及应急预案,为市人民医院新冠肺炎医疗救治工作的最终胜利打下了坚实的基础。
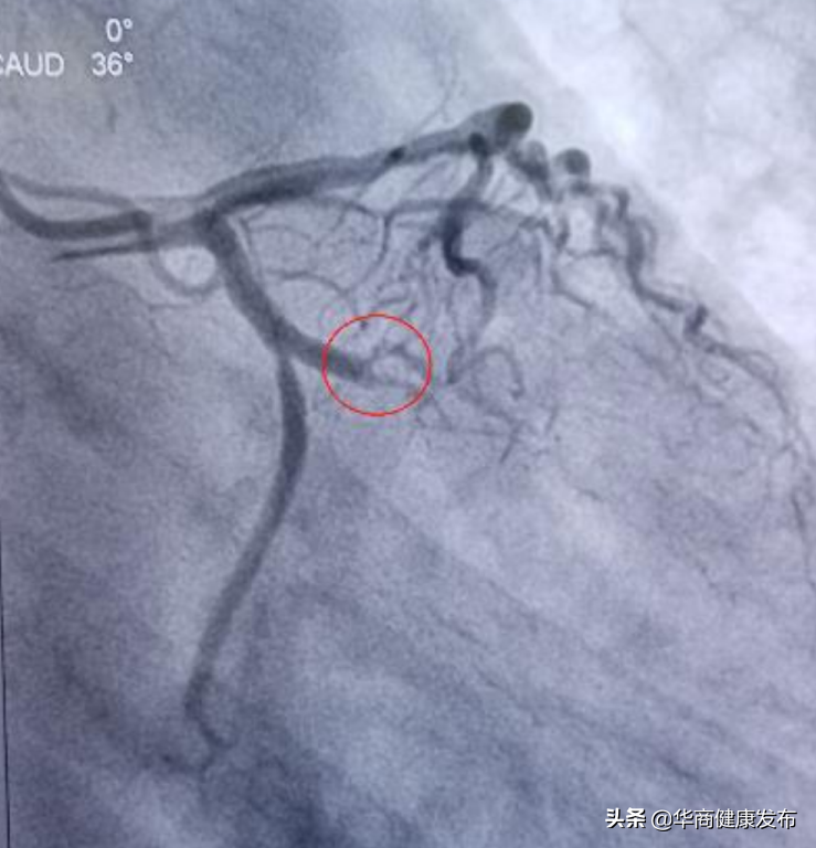
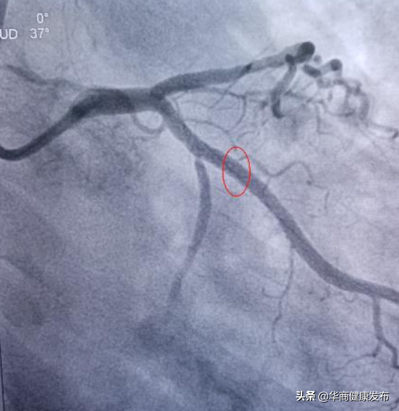
2021年12月27日晚、12月30日、12月31日西安交大二附院整建制医疗二队、三队和重症医学小组共计135名队员分批进驻市人民医院,以加强市人民医医疗救治力量。全体队员深入学习贯彻习近平总书记关于疫情防控工作的重要指示批示精神,认真落实孙春兰副总理要求,坚持人民至上、生命至上,在最短的时间内完成接管病区,在最短的时间让患者得到了有效的治疗。2022年1月13日从长安区医院急诊转入一位54岁男性新冠肺炎合并急性心梗患者,巩守平书记第一时间组织心脏介入团队,启动应急预案,由心内科高登峰教授带队,范博渊医生、李婧和徐一涛护师组成心脏介入应急团队,立即为患者实施CAG+PCI术,35分钟内打通闭塞血管,缓解了患者症状,彰显了交大二院人的高超医技和职业素养,获得了国家专家组及省市卫健委的高度认可。
2022年1月14日下午,医疗队在结束了西安市人民医院为期19天的抗疫任务后,按照省市疫情指挥部统一安排,巩守平同志转任胸科医院疫情指挥部总支书记,要求医疗队于当天下午16时紧急转战西安市胸科医院。医疗队践行“听党话,跟党走,党叫干啥就干啥,打起行囊就出发!”的爱国奋斗精神,发扬不怕苦、不怕累、连续作战的精神,准时进驻胸科医院。交大二附院团队与交大一附院团队实现会师,决战新冠患者救治工作。当天下午即完成队伍重组:普通病区团队立即整体接管新冠四科,重症团队进驻重症监护室开展重症患者医疗救治。
1月14日晚医疗一队接到指挥部通知,全队紧急集合奔赴长安区医院参与新冠肺炎患者康复治疗工作。医疗队到达医院后立即根据康复患者特点完善病区制度,梳理防控流程,规范行进路线,严防交叉感染。在规范康复治疗的同时针对合并高血压、冠心病、糖尿病及儿童、孕妇等特殊患者量身定制个体化康复方案。
医疗队在开展医疗救治的同时注重抓思想,强行动,求时效,创办并出版22期内部党建刊物《人民抗疫》,通过队员心声、和谐医患等栏目,宣传医务人员在抗疫一线的先进人物和事迹,构建和谐医患关系,弘扬伟大的抗疫精神,发挥了党建工作和新冠救治工作的双向融合和互促互进作用,形成了思想统一,行动坚定,执行有力,救治高效的工作氛围。
此次西安抗疫过程中,西安交大第二附属医院累计派出1个管理团队,1个重症小组,3支整建制医疗队,转战西安市人民医院、西安市胸科医院和西安市长安区医院三家定点医院。在西安交通大学卢建军书记、王树国校长及分管副校长吕毅同志等校领导的关心指导下,在院领导及全院干部职工的支持下,医疗队210名队员出色的完成了定点医院医院管理、医疗救治及院感防控工作,实现了收治新冠患者“零死亡”和院感防控“零感染”的双零目标。
截止2022年2月6日,赵玉杰、张小玲、张秋红、石婕4位队员继续留守胸科医院重症监护病房,为全面夺取抗疫的最后胜利贡献交二重症救治力量,其余206名队员均已完成抗疫任务,进入隔离观察期。首批86名队员将进入居家健康监测,陆续返回岗位。
奉献自我,爱你无悔,长安常安!西安交大二附院人永远秉承“大医大义,为生命之光”的医院精神,无愧西迁精神新传人的本色与底色!无愧医学人的骨气、底气和志气!永远秉承伟大抗疫精神,敬佑生命,大爱无疆,甘于奉献,救死扶伤,全心全意为人民生命健康保驾护航。衷心的祝愿三秦父老虎年吉祥如意!
2022年2月5日下午,二附院大明宫院区作为风险人员定点救治医院(黄码医院)圆满完成指定防疫任务,所有工作人员有序撤离隔离酒店
2月6日,二附院派往新冠定点医院的(除赵玉杰、张小玲、张秋红、石婕4位队员继续留守胸科医院重症监护病房)其余206名队员均已完成抗疫任务,进入隔离观察期。
来源:西安交通大学第二附属医院
版权声明:我们致力于保护作者版权,注重分享,被刊用文章【西安第二附属医学院(今天)】因无法核实真实出处,未能及时与作者取得联系,或有版权异议的,请联系管理员,我们会立即处理! 部分文章是来自自研大数据AI进行生成,内容摘自(百度百科,百度知道,头条百科,中国民法典,刑法,牛津词典,新华词典,汉语词典,国家院校,科普平台)等数据,内容仅供学习参考,不准确地方联系删除处理!;
工作时间:8:00-18:00
客服电话
电子邮件
beimuxi@protonmail.com
扫码二维码
获取最新动态
