陆博,口腔医学博士,苏州口腔医院副主任医师,擅长美学正畸。热衷于用简单浅显的文字,为您打开口腔知识大门,欢迎留言。
我们都知道,看牙不便宜,随便补个牙最少上百,洗个牙至少一顿火锅的钱,如果牙齿掉了需要种牙,价格更是几千上万,看着都吓人。其实,想要省看牙的钱,最好的办法就是在问题刚刚出现的时候就及时制止,这样就能用最简单的方法解决,能省不少钱!
“我又不是牙医,怎么发现问题呢?”这是大部分人的苦恼。其实,牙齿不是冷冰冰的石头,当它受伤时,就会向你发出警告!
比如喝凉水时牙会刺痛,刷牙时总出血,口腔异味刷不掉,这些“口腔警告”,正在帮你发现问题!
吃东西时牙齿突然疼痛,可能是有蛀牙了。
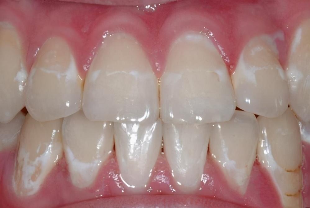
当然,你也可以用镜子观察一下:如果牙齿上是否出现黑点、黑斑、牙洞等迹象,或是用舌头能到缺口,八成是有蛀牙了。
简单的补牙很便宜,但如果一直拖着不补,那很可能就要做根管治疗了,根管治疗少则上千,好点的医生、好点的材料要好几千,跟补牙一比,是不是贵了好几倍?
牙龈就像小孩,偶尔会闹点小情绪,因此红肿出血一两天时不用太担心,勤刷牙,认真刷,实在不行换个软一点的牙刷,多注意就行。
但是,如果出血情况经常、反复发生,久久得不到改善,就要考虑是不是牙菌斑引起的牙周炎了。
悄悄跟大家说一句,牙医不怕矫正、不怕种植,但非常怕牙周炎,因为牙周炎就像感冒,根本无法治愈,只能缓解。而最好的缓解方法就是洗牙。
因为牙周炎的原因,就是你口腔里的“垃圾”太多了,那我们就通过“洗牙”给口腔做一次大扫除就行了,明白吗?
当然,大部分人不洗牙,不是不信任洗牙,而是太懒了,说的是不是你?
很多人宁愿花几十块去买高端牙膏,却不愿花几块钱买一款好牙刷。其实,牙刷的质地对牙齿、牙龈的影响非常大。
如果刷毛太硬,长期使用会磨损牙体、划伤牙龈。因此,无论是手动还是电动牙刷,选择原则都是:刷头小、毛细软!
换牙刷不难吧?快回去摸摸刷毛,太硬就换了吧~
现代人对口腔卫生很重视,一天刷两次牙很正常,那为什么牙齿还是会变黄呢?是不是牙齿生病了?
其实,这点不用担心,当你牙齿却越来越黄,就要考虑最近咖啡、茶或其他深色饮料是不是喝多了。如果不及时清理,这些色素会沉淀在牙齿上,渐渐就染黄牙齿了。
如果是这样的话,可以去洗牙,或是减少吃深色食物的量,慢慢地会恢复的,不用太紧张~
但是!!!有一点要提醒大家!不是所有牙黄都是色素造成的!!!
如果你察觉牙齿变色严重,可能是牙体病变引起的,建议尽快去医院检查。
上面我们讲过,咀嚼时牙疼,很可能是已经得了蛀牙。但蛀牙是有过程的,在蛀牙初期,往往都是有征兆的。比如牙齿上出现的黑线、白斑,都是蛀牙的征兆。
这种迹象,在儿童身上尤为明显。所以当爸妈们看见孩子牙齿上有黑线、白斑,建议尽快预防,以免真的出现蛀牙,到时候就只能补牙了。
目前,“涂氟保护”和“窝沟封闭”是国际上公认的最科学、最安全、最有效的预防蛀牙的方法。在日本、美国等发达国家,两者是直接将其纳入学生医保;在国内,部分经济发达地区的学校也会组织学生去做,可见效果之好。
当然,还有一些问题无法通过肉眼看到,医生会建议你拍张片子,观察牙齿的深度问题,比如这样的:
长这个样子,应该不便宜吧?其实不是。这种全景片大概几十块钱,而且可以拿回来反复使用,不用担心换家医院不能用,不会的,所以这也算是省了一笔钱。
所以,咱们来总结一下“看牙省钱3妙招”:
1.小问题,学会自测,及时预防;
2.出问题,及时就医,简单治疗;
3.治疗后,爱护牙齿,保持健康!
以上几个小方法,操作起来都不是难事,只需要大家对自己的牙齿上点心,你学会了吗?
#健康热力计划#
版权声明:我们致力于保护作者版权,注重分享,被刊用文章【在学校牙疼怎么办(不去医院)】因无法核实真实出处,未能及时与作者取得联系,或有版权异议的,请联系管理员,我们会立即处理! 部分文章是来自自研大数据AI进行生成,内容摘自(百度百科,百度知道,头条百科,中国民法典,刑法,牛津词典,新华词典,汉语词典,国家院校,科普平台)等数据,内容仅供学习参考,不准确地方联系删除处理!;
工作时间:8:00-18:00
客服电话
电子邮件
beimuxi@protonmail.com
扫码二维码
获取最新动态
