“医生,我老公的活检出来了吗?还有救吗?”挺着大肚子的张娴焦急又期待地看着医生。
“很遗憾,是非小泡肺癌晚期。”肺癌晚期这四个字如洪水般袭来,压着张娴喘不过气。
“求求你,救救他,我们家不能没有他,我肚子的孩子快要出生了!”。
“放心,我们会尽全力救他的,晚期实现带瘤生存肺癌患者不在少数,你放宽心,要保重身体,你和肚子里的孩子,都是病人的精神支柱”!医生看了一眼张娴的肚子。
“谢谢医生!”张娴此刻只能相信医学。
在我国,无论是病发率还是死亡率,肺癌都高居癌症榜首,肺癌情势严峻。数据显示,2015年我国肺癌病发人数已经达到73万,而肺癌死亡人数就有61万。而其中有70%肺癌患者发现时已是晚期,因而肺癌患者总体上5年生存率仅为16.1%,而晚期患者5年生存率则更低。
为什么会有70%的患者确诊时为晚期?珠海市中山大学附属五院胸外科主任曹庆东教授表示与三个原因有关:
1.肺癌早期症状不明显,容易被人忽视;
2.肿瘤太小易漏诊,直径小于2厘米,胸片容易摄取不到;
3.胸片有15%的盲区,如有心脏,纵隔其他组织挡住,就很难发现肿瘤。
对此,曹庆东教授指出:低剂量螺旋CT是肺癌筛查的“金钥匙”,低剂量螺旋CT可以一层层扫描,分辨率极高,哪怕是小于4毫米的结节都可以被发现。重要的是低剂量的CT比胸片辐射小,对人体健康造成影响小,因此肺癌筛查首选低剂量螺旋CT。
35岁张伟是一名搬运工,有个3岁的儿子,老婆因车祸丧失劳动力,爸妈也靠着救济金生活,他是家里的顶梁柱。被诊断出肺癌晚期的那天,张伟感觉天都要塌下来了。
“肺癌并肝转移、锁骨淋巴转移和脑转移,情况不是很乐观。”
“做好准备吧,可能熬不过3个月。”医生的每一句话都犹如针刺一样,刺得张伟痛不欲生。而就在张伟最悲观的时候,奇迹出现了。
郑州人民医院肿瘤内科梅主任专家团创新了治疗方案“化疗药物联合靶向治疗”,口服靶向药的同时,把化疗药物通过腰部穿刺治疗肿瘤。
治疗几次后,CT显示转移病灶竟消失了,等到第11次后,原发病灶也消失,效果显著。出院后,张伟身体状况日益见好,8月随访期间增重40斤,这项治疗新方案让张伟重获新生。
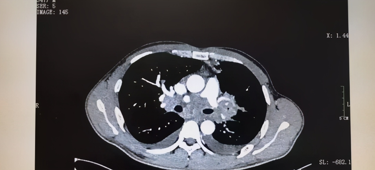
(张伟治疗前的CT显示,图源郑州人民医院)
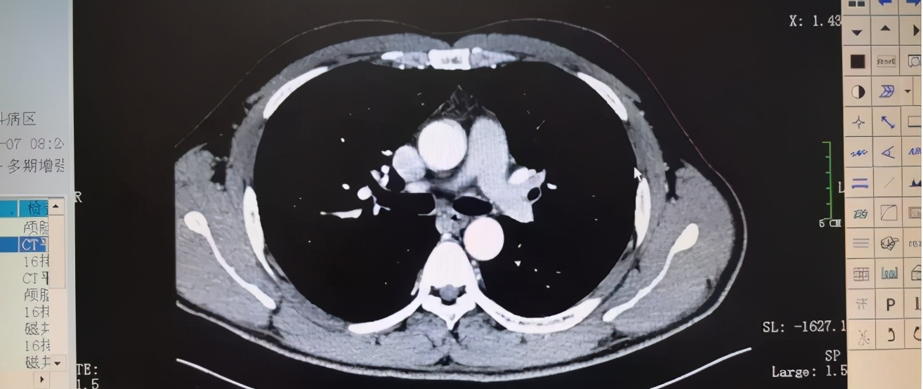
(张伟肿瘤治疗后的CT,图源郑州人民医院)
广东省人民医院终生主任吴一龙教授曾在肿瘤论坛大会指出:20年的医学研究,打破肺癌的“瓶颈”,迎来两个重大突破,那就是靶向治疗和免疫治疗。
基因突变是致癌因素之一,而靶向治疗就是基于基因突变,利用基因遗传学、生物信息学来发现异常,从而精准治疗。不仅延长肺癌晚期患者的生存期,也提高患者的生活质量。
免疫力低下是致癌因素之一,在我们身体中,有亿万个免疫细胞充当“卫士”守护我们健康。但由于癌细胞会伪装正常细胞逃脱监控,导致发展成癌症。而免疫治疗就是基于免疫系统,激活免疫细胞识别功能,从而治疗癌症。重要的是还为没有基因突变肺癌患者带来希望,把肺癌晚期患者5年生存率提高到16%。
上海市肿瘤临床医学中心陆舜教授认为,靶向治疗和免疫治疗的问世,改写了肺癌的历史,创新了肺癌治疗方案,靶向联合免疫等多种组合疗法让更多肺癌患者带受益。
肺癌虽隐匿,但是有迹象可寻。我们日常要多留意身体,不要忽视身体的5个“异常”,及时治疗,避免大错。
痰中带血:因为肿瘤长在肺部支气管上,会引起剧烈咳嗽,引发痰中带血。出现痰中带血时,病情或许已经很严重了,千万不能忽视。特别是老烟民,这类人是肺癌高危人群,尤其需要注意,建议每年一次CT早筛。
呼吸困难,胸闷:频繁胸闷,呼吸困难是比较容易忽视的症状之一。因为肿瘤长在肺部,会造成肺气管阻塞。
体重下降:肿瘤吸取人体养分生长,导致体重下降。如果近期没有刻意减肥节食,却突然出现体重严重下降的情况,要特别留意。
反复低烧:肺癌会阻塞肺叶,导致体温上升。
总而言之,随着癌症治疗技术的进步,肺癌晚期延长生命线和提高生活质量,已不是空想。但是,为了从根本上癌症消灭,还是建议大家生活中,注重生活健康,积极防癌,远离癌症。#清风计划##健康科普大赛##癌症防治手册#
参考资料:
[1]《珠海一20岁小伙竟患肺癌!医生:这类人必须定期做检查》.南方都市报.2020年11月11日
[2]《70%人被发现时,已是肺癌晚期!一张图告诉你:肺癌晚期到底该咋办?》.环球网.2017年5月4日
[3]《吴一龙:肺癌治疗进入精准时代 莫再以身“试错”》.环球健康.2018年1月28日
[4] 《晚期非小细胞肺癌免疫治疗联合化疗研究进展》.浙江临床医学.2020年3月3日
未经作者允许授权,禁止转载
版权声明:我们致力于保护作者版权,注重分享,被刊用文章【珠海中山大学附属五院(肺癌一查就是晚期)】因无法核实真实出处,未能及时与作者取得联系,或有版权异议的,请联系管理员,我们会立即处理! 部分文章是来自自研大数据AI进行生成,内容摘自(百度百科,百度知道,头条百科,中国民法典,刑法,牛津词典,新华词典,汉语词典,国家院校,科普平台)等数据,内容仅供学习参考,不准确地方联系删除处理!;
工作时间:8:00-18:00
客服电话
电子邮件
beimuxi@protonmail.com
扫码二维码
获取最新动态
