来源|华山感染
病例原作者|艾静文 虞胜镭 毛日成 陈澍
病例编写|刘璐 李发红
原题|拿什么拯救你,我的少年
15岁的阿文生活在贵州,不仅身体健康,还是个游泳好手,每到夏天就和小伙伴们相约到当地池塘里游泳。
但就在2019年5月23日,往日能蹦能跳的阿文开始发热,最高体温39℃,家里人立刻背上阿文去到了当地医院,查血常规未见明显异常,考虑诊断为“上呼吸道感染”,住院予奥司他韦抗病毒治疗。
治疗一周后,阿文非但没有好转,还逐渐出现发冷、嗜睡,幻觉,尿失禁和昏迷,查头颅CT见:颅内额叶和枕叶多个病变灶(原片未见)。考虑到阿文症状明显加重,但病因仍不明,病情危急,当地医院建议阿文尽快转至外院治疗。
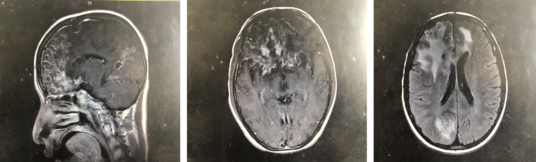
2019年6月2日,阿文求医到华山医院,先来到急诊,做了头颅MRI示:大脑额叶、颞叶多发病变灶伴有脑膜异常强化。做了腰穿,脑脊液检查见:WBC 488*10^6/L,多个核4%,单个核96%,RBC 216*10^6/L,葡萄糖 2.1mmol/L,氯 108 mmol/L,蛋白 4705mg/L。并将脑脊液送检病原学检测及二代测序检查。当时予以美罗培南+利奈唑胺经验性抗感染治疗。
图1. 头颅MRI增强
抗细菌治疗后,阿文神志仍无明显好转,6月3日收入华山医院感染科陈澍教授、毛日成医生组中继续诊治。
结合病史和检查,陈教授和毛医生初步考虑阿文为中枢神经系统感染,但病原目前尚不能确定。常见感染性疾病包括化脓性脑炎、病毒性脑炎、结核性脑膜炎、真菌性脑膜炎等。阿文头颅MRI可见明显的环形增强灶,脑脊液提示WBC增高、蛋白水平升高,糖和氯的水平轻度下降,病程进展较快,考虑化脓性脑炎不能排除。但证据不充分,且有一定程度的反证据,比如白细胞比例以淋巴细胞为主,强化抗细菌治疗效果不佳。
附:入院后辅助检查结果
血常规:WBC 5.47*10^9/L,RBC 3.36*10^12/L,Hb 98g/L,PLT 284*10^9/L;
炎症相关指标:CRP <1mg/L,铁蛋白 144ng/ml,ESR 10mm/h,PCT 0.3ng/ml;
脑脊液各项检测:葡萄糖 2.1mmol/L,蛋白 4705mg/L,WBC 488*10^6/L,RBC 216*10^6/L;
其他:血液培养、脑脊液培养,血液T-SPOT,脑脊液T-SPOT,人免疫缺陷病毒(HIV),RPP均呈阴性。
抗菌超强组合的“美罗培南+利奈唑胺”方案疗效甚微,接下来怎么办?首先得明确阿文是不是化脓性脑炎,换而言之,阿文的治疗关键是明确究竟是什么导致的脑炎。
陈教授和毛医生再次回溯阿文的疾病过程:入院体格检查时医生注意到阿文鼻部粘膜可见陈旧性皮损,追问病史,得知阿文6个月前鼻头长痘,自行挠破后鼻区域曾出现大片红色斑块,并在接下来的几周内逐渐进展。于当地医院行鼻部皮肤活检示PSA和耐酸染色阴性,真菌培养阴性,显微镜下观察未见明显异常。当地医生诊断为“感染性肉芽肿”。给予每天伊曲康唑0.2g ivgtt qd治疗,病灶逐渐缩小,但仍有反复鼻出血。
我们知道面部的“危险三角”区的感染可播散至中枢导致颅内感染,阿文的颅内病灶和当初“烂鼻头”有没有关系呢?
谜底在三日后揭开,阿文的脑脊液经宏基因组二代测序检测显示:阿文脑脊液中检测到150条B.mandrillaris序列片段,相对丰度为87.13%。
这个名字对于临床医生也相对陌生的病原,叫做狒狒巴拉姆希阿米巴。
脑脊液二代测序结果
要知道,狒狒巴拉姆希阿米巴脑炎常发生在患者出现皮损后,特别是面部。为了进一步确认,取阿文少量鼻组织行PCR检查和显微镜下观察:鼻部皮肤组织B.mandrillaris PCR阳性,显微镜下见阿米巴包囊。
鼻组织显微镜下病理图(左) 狒狒巴拉姆希阿米巴PCR电泳图(右)
至此,诊断算是尘埃落定。阿文确诊为狒狒巴拉姆希阿米巴脑炎,且考虑为既往鼻部皮肤破损后入侵感染中枢神经系统。
然而,难关一重接一重,狒狒巴拉姆希阿米巴脑炎的治疗在当今医疗界仍是一个难题。该病的总体预后很差,死亡率高达98%,全球仅报道了很少成功治疗的案例。并且所有成功治疗案例均需要数月甚至数年的药物治疗,治疗药物包括喷他脒,磺胺嘧啶,米替福新,吩噻嗪化合物,大环内酯类抗生素,阿苯达唑,氟康唑和氟胞嘧啶等。由于成功治疗的患者数目非常有限,目前尚未建立标准的治疗方案。
鉴于我国没有喷他脒和米替福新的药物储备,予阿文两性霉素B 15mg ivgtt qd+氟康唑 200mg ivgtt qd+磺胺甲恶唑800mg po tid +阿奇霉素0.5g ivgtt qd+氟胞嘧啶1.5g po qid抗感染治疗,阿文症状仍未缓解,反而极速进展。
6月9日,阿文进展为深度昏迷,因多器官衰竭,抢救无效死亡。
本病例为青年男性,生于贵州,平素经常于家乡河塘中游泳,2018年12月出现鼻部破损,组织病理提示肉芽肿性病变。2019年6月2日因“发热伴意识障碍一周”入院,脑脊液二代测序提示狒狒巴拉姆希阿米巴感染,经鼻组织PCR及组织病理进一步确诊。
狒狒巴拉姆希阿米巴首次在1990年被发现,被感染者是一只怀孕的母狒狒,最后死于该病原体引起的脑膜脑炎。巴拉姆希阿米巴脑炎常发生在患者出现皮损后,特别是面部。阿米巴侵入血液后,通过血脑屏障进入脑部。免疫受损人群更易感染,但对健康人群也存在潜在危害。
在本病例中,阿文虽无已知免疫缺陷,但既往有鼻部破损病史,鼻部组织活检考虑感染性肉芽肿,鼻部皮损逐渐愈合后出现中枢神经系统症状。这一过程是符合狒狒巴拉姆希阿米巴的感染途径的。
该病尚未建立标准的治疗方案,总体预后差,死亡率高达98%。在该案例中,由于无喷他脒和米替福新治疗该病,最终给予阿文抗真菌治疗,大环内酯类抗生素和磺胺甲恶唑的联合治疗。但可惜的是,没有能够挽救回阿文的生命。
#超能健康团##健康科普排位赛##医师报超能团#
免责声明:转载本文系出于传递信息之目的,版权归原作者所有。我们已在显著位置注明来源和作者,如不希望被转载的媒体或个人,请与小编联系进行处理。
我们对所转载文中的观点保持中立,所载内容不作为治疗依据。
版权声明:我们致力于保护作者版权,注重分享,被刊用文章【美罗案例(烂鼻头)】因无法核实真实出处,未能及时与作者取得联系,或有版权异议的,请联系管理员,我们会立即处理! 部分文章是来自自研大数据AI进行生成,内容摘自(百度百科,百度知道,头条百科,中国民法典,刑法,牛津词典,新华词典,汉语词典,国家院校,科普平台)等数据,内容仅供学习参考,不准确地方联系删除处理!;
工作时间:8:00-18:00
客服电话
电子邮件
beimuxi@protonmail.com
扫码二维码
获取最新动态
