文丨强国置业
编辑丨强国置业
2020年10月的一天,美国洛杉矶的一家医院内,病床上满脸络腮胡子的男子正和护士争吵不休。
原因是就在刚刚,这名男人通过剖腹产生下一个孩子,护士却不断称呼他为“孩子的母亲”。
满脸络腮胡子却被护士叫做“孩子的母亲”,难道男人真的可以生孩子?这个刚生完孩子的人究竟是男是女?
男人名叫贝内特,出生于1984年的美国。
事实上,刚出生的贝内特确实是一位女性,因为性别特征不明显,医生便将其指定为女性,父母也一直将他当做女生培养。
小时候的贝内特活泼可爱,留着一头亮丽的卷发,对任何事物都充满好奇。
性格上的开朗外向使他拥有了诸多朋友,女性身体特征的发育也和普通人一样。
在校期间贝内特还谈过多次恋爱,直到从学校毕业,都没有人发现他的真实性别是男性,包括他自己。
毕业后的贝内特在洛杉矶一家公司任职,渐渐地他发现自己的身体开始出现异常,胸部会出现胸毛,脸上也会长出胡子。
对于这些突然出现的“毛发”,一开始贝内特并不在意,他还特意买了男士剃须刀用来消灭它们。
生活还是和从前一样,每天早上画个美美的妆出门,然后约上好姐妹一起逛街。
随着时间的推移,胸毛和胡子越来越多,生长速度也越来越快,几乎两三天就要“消灭”一次。
这让贝内特不得不怀疑自己是否患上了疑难杂症,最终贝内特决定去医院诊治。
2011年,贝内特第一次得知自己双性人的身份。
首先我们要知道,双性人可以分为“真两性畸形(以下简称真性)”和“假两性畸形(以下简称假性)”,二者的主要区别在于假性双性人一般不能生育,但真性双性人可以生育。
假性双性人体内只存在一种男性或女性性腺,比如因为出现貌似女性的身体特征,所以被指定为女性,但实际上是男性;或者出现貌似男性的身体特征,所以被指定为男性,但实际上是女性,这就是假性双性人。
而真性双性人指的是一个人体内同时拥有两种性腺的人,他们既可以分泌出雌性激素同时也可以分泌出雄性激素,当其中一种激素占据优势时,那么这个人就会更倾向于某一性别。
贝内特就属于“真两性畸形双性人”,由于体内雌性激素分泌过多,从而导致其身体特征多表现为女性。
随着身体年龄的增长和雄性激素的分泌,贝内特的身体开始逐渐向男性靠近。
得知这一结果,贝内特十分震惊,做了20多年的女人,没想到现在竟被告知是个男人。
回到家的贝内特将这件事告诉了父母,父母虽十分震惊,但他们更希望贝内特遵循自己内心的想法,无论是男是女,他们都会永远爱孩子。
随后贝内特又将这件事告诉了朋友,让他没想到的是,平时亲密无间的姐妹,在自己最需要安慰的时候竟恶言相向,二人为此大吵一架彻底决裂。
心灰意冷的贝内特决定遵循“身体的选择”,既然体内身体雄性激素占据优势,那倒不如彻底去做个男人。
此后贝内特开始利用激素药物进行男性化激素治疗,从女性身份逐渐转变为男性身份。
在服用3年类固醇激素后,2015年贝内特花费5000美元做了变性手术,即便已经下定决定去做个男人,但真正到了动手术时,贝内特却退缩了。
在他的强烈坚持下,医生将他的乳房切除,但并没有进行下半身的手术。
因此,贝内特保留了体内的女性生殖器官,而这也成为了他可以怀孕的根本原因。
手术十分成功,术后的贝内特感觉这是一种解放,以前他从未想过“它们”的消失可以给自己带来这么大的解脱。
此后的两年时间内,贝内特一直以男性的身份生活,身份证上的标记也从“女性”更改为了“男性”。
即便如此,贝内特依然很在意别人的看法,他不希望在对方眼中看到异样的目光。
直到2017年,贝内特遇到了未来的丈夫马利克。
二人在相处过程中,贝内特从未感受到对方有任何歧视或厌恶,这是他成为男人以来从未有过的感受。
贝内特曾告诉马利克:“7年前我是一个女人,但现在我是一个男人,而且保留了女性部分的身体特征。”
马利克对此没有任何反应,在他看来,贝内特可以不顾他人眼光选择成为男性,这本身就是一件了不起的事情。
两年后二人正式向公众宣布结婚,消息一度传得沸沸扬扬。
不过他们并没有立马决定要孩子,因为贝内特始终无法忍受别人将他称为“孩子的母亲”。
贝内特曾说:“我一直都知道我的身体有可能怀孕,但在我学会如何将身体功能和性别概念区分开之前,我不想这样做。”
“母性”在美国人眼中是伟大的,一个母亲可以为孩子付出一切,因此这种“母性”渐渐成为一种生意,几乎所有怀孕护理机构都是围绕着“母性”这一概念进行推销的。
当母亲与性别交织融合在一起,就会让人难以避免地认为“母亲”就是“女性”,贝内特对此提出了严厉谴责。
他觉得不应该用“母亲”去定义“女性”,因为所有女性都可以成为母亲,所有母亲都可以生孩子,人们对于只有女性可以怀孕一直存在着刻板印象。
现在贝内特的身份是一个男人,虽然可以怀孕生子,但这并不代表别人可以随意将他定义为女人。
都说爱情的力量是伟大的,贝内特虽不情愿,但为了丈夫马利克,他决定停止类固醇激素的服用,以便自己可以更好地怀上孩子。
2020年3月,贝内特意外发现自己怀孕了,而且是自然受孕,没有任何促进措施的干预。
贝内特有些猝不及防,没想到这一天来得如此之快,但他的喜悦很快就被新冠疫情的到来蒙上了担忧的色彩。
2020年1月21日,美国确诊了首例新冠疫情感染者,在不到2个月的时间里,确诊人数就增加到了1001人,死亡人数达到28人。
在距离贝内特一家所在地区封锁的前一周,马利克就急忙外出购买了大量必须的生活必需品和食物,不过最终还是逃不过被隔离的下场。
挺着大肚子的贝内特在医院里感受别人异样的眼光,独自一人面对医院的预约,这些都是贝内特怀孕期间经历的艰难。
在距离预产期还有2个月时,贝内特终于迎来自己的儿子,取名为哈德逊。
产后幸福生活
此时医院内出现了奇怪的一幕,病房内两个有着络腮胡子的男子满脸笑意,手上抱着一个刚出生的孩子。
刚出生的哈德逊十分健康,并没有因为是父亲生下的孩子而有任何不良症状。
然而喜悦之情没多久便被护士打断,因为即使拥有扁平的胸部和一脸浓密的胡须,护士还是称呼他为“孩子母亲”,为此二人还大吵一架。
当这一幕出现在医院时,医生和护士都惊呆了,一个男人怎么可能生孩子?
这个问题从儿子出生后就一直困扰着贝内特,对于当今世界医生的不良心态,贝内特能做的就是无视他们,无视这个世界人们对他的看法。
现在他的世界就是他的儿子和他的丈夫,但他不认为自己是个母亲。
贝内特曾这样说过:“请记住,我现在是一位父亲,我必须照顾我的孩子和他的成长。”
他既是父亲又是儿子的创造者,这件事让贝内特非常自豪。
自从哈德逊出生后,大多数时间都是贝内特在照顾孩子,他常常把哈德逊放在头上,然后带着他奔波在各个育儿机构。
现在贝内特常常在社交软件上分享自己一家人的日常生活,每当哈德逊发现一些新事情时,他总会跑到贝内特面前:“爸爸,你看我发现了什么。”
每次看到这样的情景时,38岁的贝内特总是一脸幸福的模样,他希望儿子长大后可以知道,是他的爸爸将他带到这个世界上,并且每天背着他照顾他。
虽然儿子拥有“两个父亲”,但贝内特一直坚信着,将来儿子一定会接受这个来自于父亲的身份,就像他张开双臂去接受周围其他人的爱一样。
作为男人怀孕生子,贝内特并不是第一个,在美国还有一位更早的“孕夫”,他就是托马斯·比蒂。
1974年出生的比蒂在28岁时成为了变性人,2007年通过人工授精的方式怀孕,并且顺利诞下第一个女儿——苏珊。
这件事一度成为席卷世界的热门话题,比蒂也被称为“怀孕的男人”。
虽然同为双性人,但比蒂和贝内特两人的人生并不相同。贝内特是和一名真正的男人结婚生子,婚后生下一位可爱帅气的儿子。
比蒂则是先后和两位女人结婚,从2008年到2010年,比蒂共生下两个孩子。
再婚后的比蒂一年时间内又生一子,三个孩子全部都是通过人工授精的方式进行怀孕,如今一家人健健康康地居住在凤凰城内。
不得不承认,孩子的魅力确实很大,不仅让无数少男少女为之努力,就连双性人也逃不过。
事实上,大多数双性人或跨性别者过得并不如意,甚至常常遭人排挤。
尤其是在青春期,当被人知道自己是个“怪物”或者“异类”时,许多人因无法忍受歧视或侮辱而患上自闭症、抑郁症等疾病。
双性人如何出现的?
为什么会出现双性人?其实主要原因还是和我们人体内的染色体有关。
人的细胞核中有46条染色体,配对成23对,其中22对被称为常染色体,主要决定人体的一般性质和形态,剩余一对则决定男女性别,因此被称为性染色体。
具有XX染色体的人通常具有女性身体特征与内外器官,因此在生物学上被指定为女性;具有XY染色体的人通常具有男性身体特征与内外器官,因此在生物学上被指定为男性。
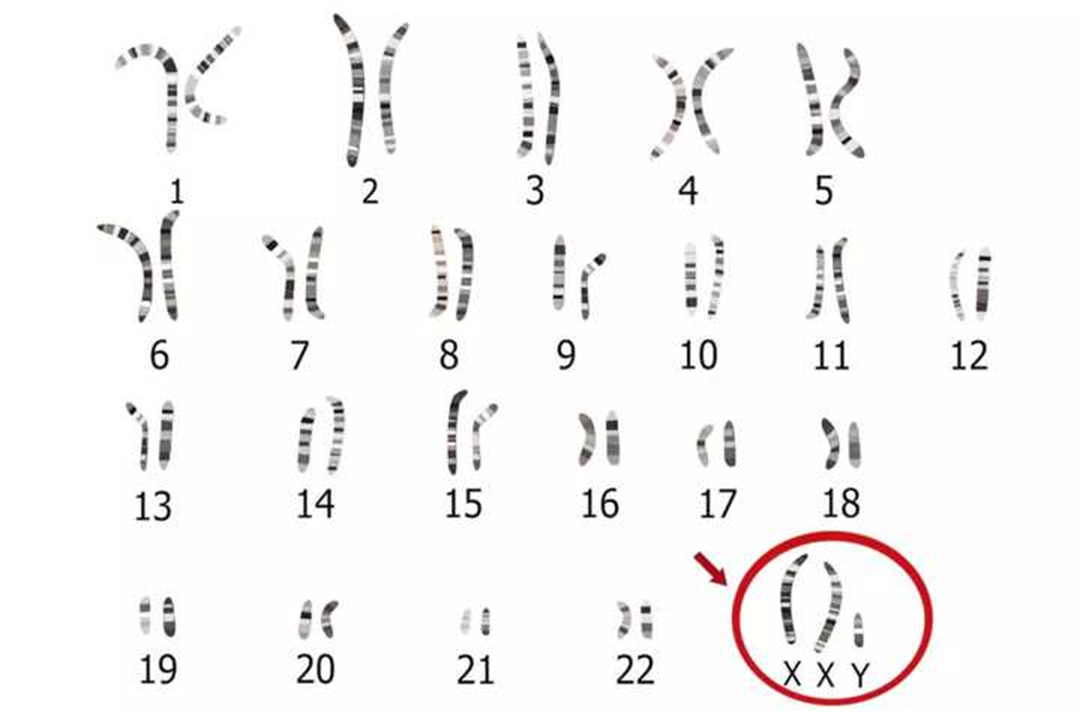
当染色体、激素和身体部位的其他排列发生变化时,这就会导致某人成为双性人,染色体则为46XX或46XY。
双性人可以分为4类:46XY双性人、46XX双性人、真性双性人、复杂不确定的双性人,贝内特和比蒂都属于“真性双性人”,46XY双性人和46XX双性人属于“假性双性人”,
除了简单的46XX或46XY外,许多染色体配置异常都有可能导致性发育障碍。
其中包括45XO、47XXX和47XXY,45XO指的是只有一个X染色体,47XXX和47XXY分别指具有额外的性染色体X或Y。
这些问题不会导致内外生殖器之间存在明显差异,但在性激素水平、整体性发育和性染色体数量改变上可能存在问题。
双性人是人类自然发生的变异,当一个人出生时的性别特征看起来与医生所认知的不同,那么这个人可能从出生就被认定为双性人。
这时,医生和父母通常会决定为婴儿“分配”性别,然后根据该性别相关的性别规范进行药物治疗或者手术,这样做的目的是为了使婴儿更好的“适应”男性或女性。
我们很难确切地知道有多少人是双性人,但是据统计,在美国出生的100人中约有1-2人就是双性人。
有人经历青春期时就会知道自己是双性人的身份,也有人到了晚年才会知道,甚至有些人可能一生都没有发现自己是双性人。
结语
双性人不是身体障碍,更不是精神失常,这是一种正常的生物学。
通常来说双性人并不需要紧急治疗,甚至在长大成人之前没有必要去做手术来肯定身体的某一性别。
但人们对于这一群体了解的并不多,往往遇到这些人还会生出厌恶与歧视之心。
其实无论是身体、内心、取向,他们都和普通人并无两样,不应该去做区别对待,更不应该搞互相对立。
如果所有人都能够明白这些,那么这些特殊且少数的人群将会获得更加安心的生活环境。
版权声明:我们致力于保护作者版权,注重分享,被刊用文章【在美国生的孩子(美国一男子自然怀孕)】因无法核实真实出处,未能及时与作者取得联系,或有版权异议的,请联系管理员,我们会立即处理! 部分文章是来自自研大数据AI进行生成,内容摘自(百度百科,百度知道,头条百科,中国民法典,刑法,牛津词典,新华词典,汉语词典,国家院校,科普平台)等数据,内容仅供学习参考,不准确地方联系删除处理!;
工作时间:8:00-18:00
客服电话
电子邮件
beimuxi@protonmail.com
扫码二维码
获取最新动态
