文 ┃文坛讲史
编辑┃文坛讲史
俗话说人无完人,事无完美,人生有太多的无可奈何,
最重要的是我们要怀着一颗包容的心,去面对自己的缺陷。
这个道理想必很多人都知道,但是我们今天要讲的主人公李亚诺,
他为了追求完美的身高,不听家人的劝阻,不惜一切代价,花费16万元,做了断骨增高手术。
术后,他确实增高了7.5厘米,但是人却病倒了,而且从此告别正常人走路。
李亚诺,他用生命在告诉我们:鱼和熊掌不可兼得。
李亚诺,地地道道的北方人,在大多数的印象中,北方人身高马大,个个都是大高个儿。李亚诺的父母就是这样的,虽然谈不上很高大,但是还是能达到平均身高的。
小时候李亚诺过的无忧无虑,他从来没有为自己的身高烦恼过,因为他的父母算不上高也算不上矮,他觉得自己将来也能长个差不多点的个头。
小学时期,李亚诺和身边的同学身高所差无几,但是到了初中阶段,当别的同学进入青春期后,身高开始快速增加,李亚诺却一点变化都没有,一个学期下来,别人都能高出他半头。
对于身高的异常情况,李亚诺并没有引起重视,他觉得自己马上就要中考了,
应该全身心投入到学习上,并且很多人都是到了高中阶段才长个的,他更加的不在意了。
他的父母看到李亚诺的同学都长了不少个头,见到儿子为了考重点高中而奋斗,
他们也不敢多说什么,只是在吃饭的时候,增加了一些高蛋白的食物。
绝望的身高
时间一眨眼就到了高中时期,这时候李亚诺的身高只有166厘米,
而他的同学身高大多数都在175厘米,
高一点的能够超180厘米,最矮的也只有171厘米,只有李亚诺,他的身高只能和女生相比。
起初李亚诺并不是很担心自己的身高,但是在一次月考分座位的时候,
他前方座位上是一个身材高大的男生,这样一来,这个男生完全挡住了李亚诺的视线,
老师每次往黑板上写知识点的时候,他总是要把身子侧到一边。
慢慢的李亚诺就意识到自己的身高太矮了,为了快速长高,
他将此事告诉了妈妈,希望妈妈每天多给他做一些能够帮助自己长高的饭菜。
母亲听到儿子的要求后,也开始重视起这个问题。
为了早日实现儿子的愿望,她在网上查了很多资料,也向邻居打听做膳食的方法。
就这样李亚诺每天除了一日三餐外,还需要吃很多有营养的补品,
甚至到了晚上睡觉的时候,母亲还要他喝一杯牛奶再睡觉。
除了饮食上有所改变,他还在课余时间做锻炼,打篮球,
跳绳、跑步、拉伸肌肉他基本每天都要做一遍。
坚持了一年后,李亚诺的身高并没有太大的起色,只长高了1厘米。
看到这个结果后,李亚诺的心里失望极了,他产生了放弃的念头。
好在家人一直鼓励他,他才重新坚持下去。
班里的同学看到李亚诺为了长高用尽了各种办法,却依然没有任何明显的变化,
就有一些同学给他起外号,叫他:半残,其中有一个同学身高只有171厘米,也常常取笑李亚诺。
绝望的身高让李亚诺心里憋屈极了,更过分的是,现在同学们也取笑他,正处青春期的他,内心渐渐变得内向自卑了。
他也不再主动和同学们玩了,总是自己一个人待着。
到了高三下学期,李亚诺准备参加民航飞行员考试,因为他从小的梦想就是做一名飞行员,自由自在的翱翔在天空中。
他认真的准备考试,希望自己能够成功考上,可是到了体检的时候,他却落选了。
得知这个结果后,李亚诺心里很是失望,他想不通自己到底是哪一点做得不好,
苦想无果后,就给对方打了一通电话。
在电话中,对方只回答了他五个字:身高不合格,之后就匆匆忙忙地挂断了电话。
听到这五个字后,李亚诺积攒多年的委屈爆发出来,他想不通,为什么他的父母挺高的,
只有他是一个矮子呢?
他也想不通,为什么只比他高4厘米的男同学,就敢说自己是半残,顿时他泪流满面,
久久不能平复自己的心情。
等平复好心情后,李亚诺做出一个重要的决定,那就是寻找增高的办法,
一个不行就两个同时进行,他不相信他才十几岁,就定格了自己的身高。
在这样的想法驱动下,李亚诺无心学习,就连老师上课讲课,他都听不进去,
有时候常常发呆,幻想自己长高的那一刻。
最终由于学习成绩太差,他也没有考上理想的大学。
离开学校之后,李亚诺并没有早早打工,而是整日待在家里,去网上搜集资料,查询增高的办法。
父母看到李亚诺这样下去也不是办法,就说动李亚诺去医院做检查,
他的母亲说:“光靠咱自己也找不到有效的办法,要不咱去医院,让医生给看看,说不定医生有办法呢。”
李亚诺听到母亲的话,仿佛抓到救命稻草一样,他心想:是啊,几年下来,他光自己想办法了,去医院问问医生说不准有好办法。
最后在父母的陪伴下,李亚诺来到医院进行检查。
在问诊室,医生告诉他,像他这个年纪的男孩子,骨骼早已经闭合了,身高不会再长了,
不过也有例外的情况,于是就让李亚诺先做了检查。
检查结果出来后,李亚诺最先来到医生跟前,他着急的问:“医生,你看我还有希望长高吗?”
多年经验的医生,拿到片子看了一眼就知道了结果,
不过医生看到李亚诺如此的期待,并没有直接给出答案,而是比较委婉地讲出检查结果。
医生说:“一般情况下,男孩子在16岁左右身高就停止生长了,
现在看来李亚诺的骨骼线早已闭合,能够自然长高的几率很小了,
不过要是想长高,在日常生活中多吃一些蛋白较高的食物,多运动运动,说不准会有点起色。”
听完医生的话后,李亚诺的父母心里凉透了,他们明白儿子已经无法再长高了,
儿子为了长高,天天吃蛋白食物,但是一点起色都没有。
而李亚诺听完医生的话后,直接就倒在一边,他哀求医生,再给他想想办法,他不想一辈子这么矮。
医生告诉他:“你现在的167厘米也不算矮,即便你不能自然长高了,
你该学着放平你的心态,把注意力转到学习或者工作上面,不要再做无谓的挣扎。”
从医院出来后,李亚诺天天把自己关在屋里,迟迟不能走出这个困境。
后来他的父母看到他这样子,就说:“这个医生看不好,
咱再去别的医院看看,天下那么多医院,总有一个医生会给咱治疗的。”
后来,李亚诺就四处求医,不过每次医生给的答案都是同一个结果,
他的骨骼线闭合,几乎不可能自然长高。有的医生看到他情绪崩溃,
只好给他开了点维生素之类的药物,让他拿回家天天吃一颗。
四处求医无果后,李亚诺想到了另一种方式,那就是找偏方。
父母也为了他增高,也拜托亲戚帮他们打听着点,有什么偏方子第一时间告诉他们。
在这段时间,李亚诺从网上得知一种手术,叫做:断骨增高手术。
这个手术来自于印度,有一个女孩身高只有137厘米,为了增高,她做了这种手术,
术后她的身高长了8厘米,而且还没有任何后遗症。
其实说到这个断骨增高手术,它的发明者本意不是为了帮助人增高的,而是为了治病。
只不过这些病人痊愈后,多多少少都长高了一些,
这让一些医生开始注意到这种新的变化。有些人得知后,
为了增高,就要求医生给他做这样的手术,可是这种手术对身体的伤害很大,如果术后恢复不好,很有可能留下后遗症。
李亚诺从网上查到这种手术后,便疯了一样搜集各种案例和资料。
当他得知我国早在2006年的时候就明令禁止做这种手术,他的心里还是很失望的。
后来他又从网上查到,一些私立医院可以做这种手术,
他就开始找私立医院,最终他去了一家医美整形医院,希望从这里可以实现他的梦想。
当他把这个计划告诉他的父母时,他的父母很反对他,因为这个手术的风险很大,
而且术后还有巨大的副作用,他们觉得儿子的身高还可以,不是很矮,便和儿子争论不止。
李亚诺为了达成自己的梦想,他不停地给父母普及这个手术的案例,
不过讲得大多都是比较成功的案例,而且在说的时候,他还美化了一些内容。
父母听到儿子的讲解后,心里面也有所动容,
他们也知道儿子为了增高用尽了各种方式都没有好的效果,
现在儿子好不容易找到一个靠谱的办法,儿子心里自然是想尝试尝试的。
看着双眼放光的儿子,父母决定去这所医院看看,然后再做打算。
李亚诺看到父母的态度有所转变,觉得自己马上就要重生了,
他赶紧给那边医院联系,并且定好车票,想用最快的时间到达医院。
这一天在父母的陪同下,李亚诺如愿地来到这所医院。
到了医院之后,医院很详细地给他们介绍了医院的情况,
还请李亚诺的父母不要担心,现在科技这么发达,手术一定没有问题的。
回到家里后,一家人再次商量,
最终决定在9月24日这一天做手术,因为这一天是李亚诺的20岁生日,他想给自己一个独特的生日礼物。
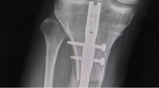
在做手术之前,医生给他进行全面的检查,最终确定术后会增加7.5厘米。
当得知这个结果后,李亚诺依然不死心,还想再加一点,可是医生却对他说,
这已经是极限了,再多一毫米,他的身体将会承受不了。
2014年9月24日,李亚诺怀着重生的心,进入了手术室。
他的父母在手术室外焦急的等待着,他们祈祷儿子能够早日实现自己的梦想,也祈祷手术进展顺利。
这场手术进行了好几个小时,手术结束后,李亚诺被平安地推了出来,
医生告诉他的父母,手术很成功,
如果术后恢复得不错,明年他的身高就能达到174厘米。
等李亚诺醒了之后,他心里非常期待,想快速看到自己变高的那一刻,
只是他没想到,麻药劲过后,那种撕心裂肺的疼痛感有多么疼。
他说:“那种疼是钻心的疼,我不管用什么方法,包括吃止疼药,都没有减轻的迹象,我只能忍着,做完手术半个月后,疼痛感才开始缓解。”
出院之前,医生给他做了一次复查,告诉他可以出院,只是出院之后要按照叮嘱,
每日都要做恢复运动,如果顺利的话,两年之后就可以恢复正常生活。
听到医生的一番话,李亚诺开心极了,他早已迫不及待地想看到另一个自己,
只是他没有想过,他的术后恢复的并不是很顺利。
在回家休养的这段日子里,李亚诺不仅不能正常生活,还需要一个人照顾,
而且康复费用也不低,这一点是他们一家人从来也没有想过的。
俗话说:开弓哪有回头箭,一家人只能默默忍受,为了更好地康复,
父母拿出积攒多年的积蓄,可是这个钱就如同流水一般,没有带来任何回报。
在复查的时候,医生告诉他们李亚诺还要做一次手术,这次手术做完后,应该会恢复的不错。
就这样,20岁的李亚诺再次躺进手术室,这一次手术过程进展得很顺利,
然而术后李亚诺的恢复却不为理想。
在拆掉腿部支架后,他的腿部肌肉出现了病变,他再也不能像正常人一样走路了。
更遗憾的是,他有时候连站都站不起来。
慢慢的,他的腿部出现变形,脚部也出现问题,总之他的恢复很糟糕。
见到自己变成这样,李亚诺多次去往医院,希望医生能够帮帮他,
可是医生对于这种情况也没有办法,李亚诺只能独自承担其后果。
如今距离这场手术已经过去7年了,当再次问起李亚诺是否后悔时,
他低下头沉默,
说道:“如果再给我一次机会,我想我不会介意我的身高。”
遗憾的是,世上没有后悔药,未来的每一天,他都要为自己犯下的错误承担责任。
版权声明:我们致力于保护作者版权,注重分享,被刊用文章【断骨增高成功案例(花费16万断骨增高7)】因无法核实真实出处,未能及时与作者取得联系,或有版权异议的,请联系管理员,我们会立即处理! 部分文章是来自自研大数据AI进行生成,内容摘自(百度百科,百度知道,头条百科,中国民法典,刑法,牛津词典,新华词典,汉语词典,国家院校,科普平台)等数据,内容仅供学习参考,不准确地方联系删除处理!;
工作时间:8:00-18:00
客服电话
电子邮件
beimuxi@protonmail.com
扫码二维码
获取最新动态
