来源:浙大一院
诶呦,肚子痛!
58岁杭州严大叔(化名)莫名发生腹痛症状,到医院一查,发现肚子里竟然有个“针状物体”
跑了好几家医院,都表示无法通过手术取出,让他回家注意观察
抱着最后一丝希望,严大叔来到浙江大学医学院附属第一医院
最终,通过消化内镜的“秘密武器”,严大叔肚子里的“小尖尖”终于被取出来了
竟然是……
“这真是没想到,它竟然在肚子里藏了那么久,差点要吃大苦头了!”9月29日,正等着出院的严大叔拍着大腿说。
严叔是杭州萧山人,身高一米八,身材匀称,注重养生锻炼的他,年近花甲看过去却像才40多岁。一向身体不错的他却在今年6月20日左右,突然出现腹痛症状。“当时感觉就是一阵一阵的,痛得直不起腰,满头大汗。”
自己吃了几天胃药不见好转后,严叔来到家附近的医院,经过一系列检查,被诊断为急性胰腺炎,经过一周的治疗后,顺利出院。然而,在复查B超检查时,医生却发现他腹部胃壁和胰腺之间有一个大约3cm长度的针状物体。
“你有没有不小心吞下什么金属物体或者尖锐的东西?”当地医生询问下,严叔一脸懵,表示自己并未有尖锐金属物体接触史。更奇怪的是,在该医院进行胃镜检查后,并未发现他的胃里或胃壁上有异物。
严叔又来到杭州某三甲医院,再次进行了腹部CT检查,在影像结果(图片)上,可以清晰地看到胰腺附近有一根白色的针状异物,但再次进行胃镜检查后,仍是一无所获。
“你这个情况,可能只能开腹手术寻找这个异物了,虽然有3厘米长,但是直径非常小,动刀进去后也不一定能找得到,目前也没产生更坏的影响,建议先保守观察。”该院医生建议严叔还是回家,自己随时注意,定期复查。
“肚子里有个这么尖的东西,这我怎么能放心生活!”严叔越想越着急,多方打听后,得知浙大一院的消化内镜技术特别厉害,他抱着一丝希望,慕名来到了浙大一院之江院区消化内科陈洪潭主任医师的门诊。
陈洪潭主任医师仔细询问病史,并翻阅严叔的各项检查结果,从影像图片上来看,这个异物呈条状高密度影,两头都很尖锐,看过去确实很像金属异物,但严叔表示没有这种形态的金属接触史,经验丰富的陈洪潭主任医师想到了一种可能。
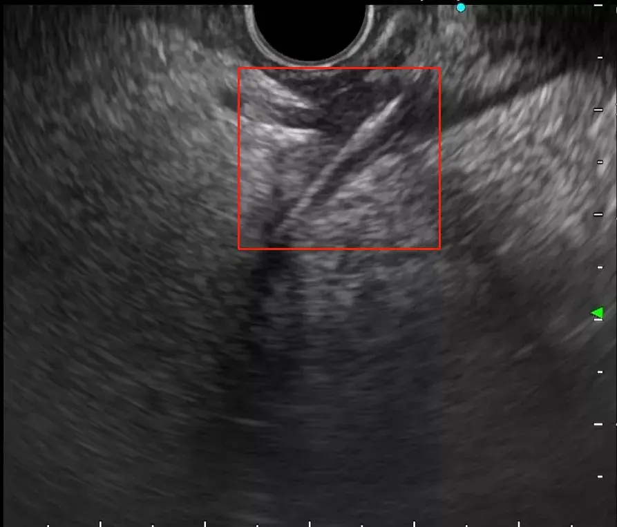
红框里为严叔肚子里的异物
“您最近有没有被鱼刺卡过?”
“没有吧……啊,对了,今年大概3月份的时候,我吃扁鱼时,被卡过一次,当时就喝了醋,塞了几口饭,感觉把鱼刺‘顺’下去了。这都过去半年了,这刺不会还在我肚子里吧?”
经过进一步检查,以及组织科室内讨论分析,陈洪潭主任医师专家团队基本判断这个位于严叔的胃壁外和胰腺之间的这个针状异物为他6个月前误吞入的鱼刺,鱼刺从食道进到胃里,穿出胃壁,达到胰腺,并引发胰腺炎,从而造成严叔腹痛。
对病因有了头绪,下一步就是要想办法取出异物。影像学结果只能显示鱼刺大概的位置,但由于人体腹腔是立体的,并充满各种组织,要想找到这一根细长的鱼刺,无异于“大海捞针”——这也正是多家医院不建议手术的原因。
经过充分讨论,专家团队为严叔制定了治疗方案:先进行超声内镜引导下的异物取出术,如果引导下取出术失败,那就要进行超声内镜定位下胃壁全层切开,再用胃镜取出异物。专家团队设计了手术技术路线图,并对术中可能出现的状况和并发症进行了详细讨论,制定了处置预案,并且与肝胆胰外科提前沟通,如果术中发现必须由外科进行开腹手术,则由肝胆胰外科专家及时介入。
9月20日,陈洪潭专家团队为严叔进行了手术。
先用常规胃镜进行检查,常规胃镜就是一个腔内探测器,在人工控制下可以扫查到上消化道腔内的角角落落,都未发现鱼刺的蛛丝马迹;
随后,超声胃镜“小钢炮”小探头上场,进行胃壁的地毯式扫描。超声小探头好比在我们的胃镜头段安装了一个近距离的雷达,可以探测壁内外三厘米左右的病灶,但仍没有见到壁内或紧贴胃壁的鱼刺;
此时,消化内镜的秘密武器——“大钢炮”纵轴超声内镜上场,纵轴超声内镜好比在胃镜头端安装了一个大功率的雷达,可以扫描胃腔内外包括邻近腹腔的其他脏器病变及异常情况!即使在围墙内“扫描”,也可以发现胃壁外的“敌人”,从而进行精准的定向导航。
“找到了!”随着一阵欢呼声响起,超声内镜屏幕上清晰地显示出一条约三厘米的高回声异物——真凶初次露出了它狰狞的面目。陈洪潭主任对异物、胰腺以及周边大血管之间的位置进行了仔细地扫查,发现鱼刺和胰腺之间,有一条动脉血管穿过,如果再不及时取出鱼刺,很可能就会穿破动脉血管,造成大出血,那时后果将不堪设想!
找到了凶手,下一步就是要“逮住它”。陈洪潭主任医师在超声内镜引导下精准地小范围切开了胃壁,逐层深入腹腔,腹腔内镜视野所见仍然没有异物的踪迹,他在超声内镜和治疗内镜的交替使用中不断接近和挖掘疑似区域,同时指导团队医生做好备血准备,一旦术中出现临近动脉的损伤,可能需要随时输血及进一步外科手术。
在陈洪潭主任耐心细致地操作下,终于,在一处炎症组织包裹处,一根白色的鱼刺头冒了出来!继而,他小心翼翼地用异物钳牢牢抓取后,取出了这根长约3厘米的锋利鱼刺!
取出来的鱼刺
历经近3个小时,用上了消化内镜的“重量级武器”,严叔腹腔里的这根鱼刺,终于在“逍遥法外”六个月后,被“一举擒获”。
严叔把这根鱼刺好好地收藏了起来:“我要拿回家做个警示,一根小小的鱼刺居然差点让我吃了大苦头!”
我们也曾多次写过被鱼刺卡住,暴力吞咽,最终造成严重后果的案例,曾有宁波大叔严重到进入ICU,也有富阳阿姨吞下鱼刺差点扎破肺部大血管……
专家再次强调:如果不慎吞下鱼刺等异物,应停止进食,不要惊慌,切勿听取他人的所谓“土方法”,通过喝醋、大口吃饭、吞菜等方法希望能将异物带入胃内,并随食物消化后一起排出体外。因为这样会令不规则或较尖锐的异物更深地插入食管甚至扎进主动脉或胃内,引发不同程度的出血、穿孔等严重并发症。因此,建议吞入可疑异物后应及时就医,切莫盲目“自治”。
版权声明:我们致力于保护作者版权,注重分享,被刊用文章【鱼刺图案例(鱼刺卡喉)】因无法核实真实出处,未能及时与作者取得联系,或有版权异议的,请联系管理员,我们会立即处理! 部分文章是来自自研大数据AI进行生成,内容摘自(百度百科,百度知道,头条百科,中国民法典,刑法,牛津词典,新华词典,汉语词典,国家院校,科普平台)等数据,内容仅供学习参考,不准确地方联系删除处理!;
工作时间:8:00-18:00
客服电话
电子邮件
beimuxi@protonmail.com
扫码二维码
获取最新动态
