57岁的王师傅平时不抽烟,不喝酒,也没有高血压,平时饮食也很清淡,经常跑步、游泳锻炼,体型精瘦,算是个很注重保养的人。可惜的是,这样的人还是出现脑梗瘫痪在床了。
半年前,老王平时活动时偶有出现心慌,没有胸痛,休息一阵子就好了,未予以重视。近半年来,多次出现心慌心悸的症状,但也是很快就缓解了,家人曾多次劝老王来医院检查,但老王性格比较固执,过于自信,认为自己的身体很硬朗,可能只是劳累引起的,就一直没去医院。
1月前的一天晨起,老王发现右手有些麻木感,但力量还算正常,喝了几口水有呛咳,妻子要他去医院看看,老王仍讳疾忌医,要在家观察看看,未就医。
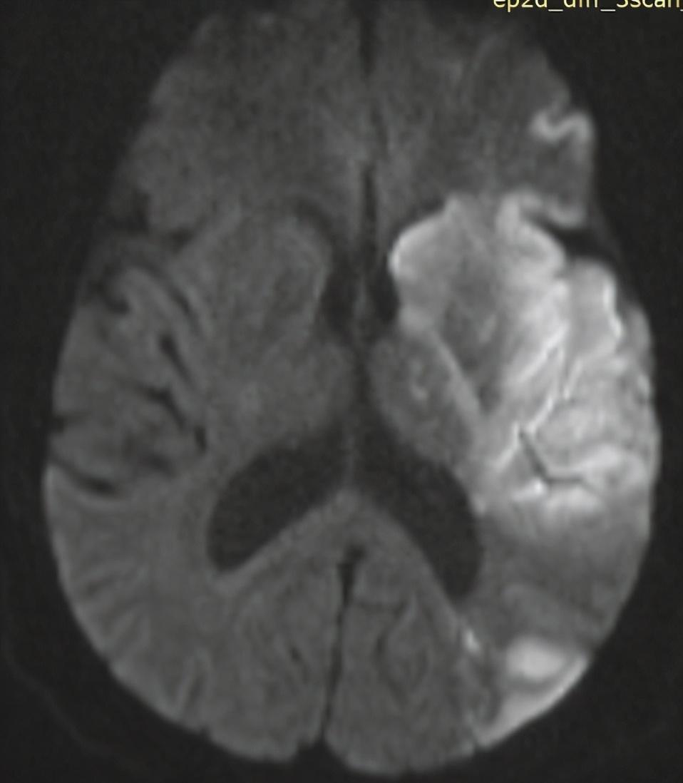
到了晚上凌晨上厕所时,老王突然“砰的一声”摔倒了,妻子闻声而至,发现人已经倒在地板上,呼喊没有反应,这时妻子慌了神,还好她记得马上拨打120急救电话,不然老王的命可能都没了。后来,老王被送到医院急诊,完善头颅CT检查提示左侧大脑大面积脑梗死,心电图提示心房颤动。
左侧大脑大面积脑梗死
由于发病时间已经超过了静脉溶栓和血管介入的时间窗,只能给予一般的药物治疗,如阿司匹林(抗血小板),阿托伐他汀钙(抗动脉粥样硬化),丁苯酞注射液(改善循环),低分子肝素(抗凝),后来也积极给予肢体康复锻炼。
经过积极治疗后,老王的命是保住了,但医学毕竟有局限,由于梗死面积大,老王遗留了重度的右侧肢体瘫痪和言语不利,生活不能自理,后续转到康复医院继续治疗。
现实生活中,像王师傅这样的人可能大有人在,平时觉得自己身体挺好,忽视了自己身体发出的“求救信号”,最后酿成大祸,抱憾终身。
第一次,近半年来,老王多次出现心慌心悸的症状,很快就缓解了,其实这就是在发作心房颤动(心跳不规则),这属于心律失常的一种常见类型,20~30%的脑梗死是因为心房颤动导致心脏血栓脱落导致的,并且心源性脑梗多病灶大,病情重,更应该重视。如果老王警觉性高,不盲目自信,早点来医院完善心电图等检查,及时发现房颤并治疗,可能就不会发生脑梗了。
心房颤动
第二次, 夜间和晨起时段是脑血管的高发的“魔鬼时间”。老王发病当天晨起,发现右手有些麻木感,喝水有呛咳,其实这已经是脑梗死的症状,这时可能病灶还不大,如果早点去医院治疗,符合“黄金治疗时间窗”是可以做静脉溶栓治疗,可能就不会病情加重,导致重度瘫痪,失语了。
若突然出现以下任一症状时应考虑脑梗的可能:
● 一侧的手脚无力或麻木
● 一侧面部麻木或口角歪斜
● 说话不清或理解语言困难,甚至不能说话
● 双眼向一侧凝视
● 单眼或双眼视力丧失或模糊
● 眩晕伴呕吐,行走不稳
● 既往少见的严重头痛、呕吐
● 意识障碍或抽搐
时间就是大脑,一旦发现及早送医,哪怕最后不是脑梗,就当作住院体检了,也不要错过静脉溶栓治疗的“黄金时间窗”,发病4.5小时以内。
血管健康是人长寿的标志之一,建议过了50岁的朋友们,每年都要做体检,哪怕平时身体没有不舒服也要定期体检,比如血脂、血压、血糖升高的早期,是不一定会有症状的,一定要体检抽血化验,测量血压血糖才能发现,及早发病并控制这些血管病的危险因素。
血管体检项目一般包括心电图、心脏超声、颈动脉超声、经颅多普勒超声、CT心脏和脑血管检查等。
总之,健康比作是1,财富、事业、婚姻、名誉种种都是0,有了前面的1,后面的0才会有价值,相反,如果前面的1没了,后面的0再多也毫无意义。
参考资料:中国急性缺血性脑卒中诊治指南2018.中华神经科杂志, 2018, 9(51): 666-682.
版权声明:我们致力于保护作者版权,注重分享,被刊用文章【高寿松双眼皮失败案例(57岁男子脑梗瘫痪在床)】因无法核实真实出处,未能及时与作者取得联系,或有版权异议的,请联系管理员,我们会立即处理! 部分文章是来自自研大数据AI进行生成,内容摘自(百度百科,百度知道,头条百科,中国民法典,刑法,牛津词典,新华词典,汉语词典,国家院校,科普平台)等数据,内容仅供学习参考,不准确地方联系删除处理!;
工作时间:8:00-18:00
客服电话
电子邮件
beimuxi@protonmail.com
扫码二维码
获取最新动态
