第322期 脑科学日报
2019年5月31日
1,今日《自然》封面:十多年跑到新终点,人类微生物组学研究公布三项成果
来源:学术经纬

顶尖学术期刊《自然》及其子刊《自然-医学》今日以多篇报道公布了刚刚完成的人类微生物组整合计划(iHMP)。这是一项历时十多年的大规模研究,凝结了全球科学家在多个领域的智慧。
人类微生物组整合计划(iHMP)由美国国立卫生院自2007年发起。第1阶段的成果曾带给我们很多前所未见的新知:在正常情况下,原来每个人的身体都是多样性丰富的生态环境,种类繁多、数量达上百万亿的微生物与人体共存,并且它们的组成因个体、群体和环境而异。人体微生物组会影响人的健康状态,也在炎症、代谢障碍等疾病状态下受到干扰。
第2阶段从2013年启动,科学家们踏上新的征途,开始采用新的多组学研究方法探寻人体微生物组在疾病过程中的变化。
这个项目现在带来了刚刚完成的三项成果。来自多个研究机构的科学家团队分别探寻了三种情况下——炎症性肠病,糖尿病前期,怀孕和早产——人体微生物组出现哪些变化。这些新发现将有助于我们理解疾病特征,并有望促进疾病治疗。
阅读链接:
今日《自然》封面:十多年跑到新终点,人类微生物组学研究公布三项成果
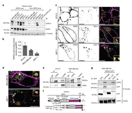
2,这个蛋白是阿尔兹海默病的“砒霜”,HER2阳性癌症的“蜜糖”
来源:转化医学网
到目前为止,分选蛋白受体 A(SORLA, Sorting protein-related receptor A )的研究主要集中在神经元。然而近日,芬兰图尔库大学的 Johanna Ivaska及其团队发现了SORLA在HER2阳性癌症中的高表达。从HER2阳性癌细胞系中去除SORLA蛋白后,其体外增殖受到了抑制。更重要的是,从这些细胞中去除SORLA蛋白抑制了小鼠肿瘤的形成和生长。这一研究发表在近期的《Nature Communications》上,题目是SORLA regulates endosomal trafficking and oncogenic fitness of HER2.
阅读链接:
这个蛋白是阿尔兹海默病的“砒霜”,HER2阳性癌症的“蜜糖”
3,PLOS Biology脑电结合眼动研究:工作记忆中多重神经活动表征可并发存储
来源:思影科技
来自芝加哥大学的Sutterer和Awh等研究者,直接测试了多重表象是否可以在一个激活状态下同时进行。他们使用α频段(8-12Hz)的激活来追踪WM中的空间表象,要求被试在短时间内识记一或两个位置,并记录其脑电图(EEG)数据。利用空间编码模型,根据α频段功率的头皮分布对特定刺激的激活表征(通道调谐函数,channel-tuning functions [CTFs])进行重构。与以往研究一致,空间CTFs的选择性在2项存储时显著低于1项。更重要的是,数据驱动的模拟结果表明,每次只有一个刺激可处于激活状态的理论模型不能解释记忆两个刺激条件中空间表征的选择性,继而证明了多刺激是可以同时表征在同一个激活状态中的。
阅读链接:
PLOS Biology脑电结合眼动研究:工作记忆中多重神经活动表征可并发存储
4,“智能手套”有望为机器人增添人类触感
来源:Nature自然科研

可伸缩触觉手套(STAG)作为一个平台从人类的抓取动作中学习
根据本周《自然》发表的一篇论文Learning the signatures of the human grasp using a scalable tactile glove,美国麻省理工学院的Subramanian Sundaram及同事设计了一种简易廉价(10美元)的可伸缩触觉手套,上面布置了548个传感器和64个导电线电极。可以学会识别单个物体、估算重量和应用触觉反馈。这种策略或有助于未来设计假体、机械工具和人机交互。
阅读链接:
“智能手套”有望为机器人增添人类触感 | Nature论文
1,赵性泉:脑出血研究进展
来源:医脉通神经科
中国脑卒中大会2019暨第九届全国心脑血管病论坛在北京国家会议中心顺利召开。在出血性卒中内科专业分论坛上,针对脑出血研究进展的相关内容,来自首都医科大学附属北京天坛医院赵性泉教授准备了精彩的专题演讲。赵性泉教授因故未到现场,现场报告由其学生刘艳芳代为讲解。
阅读链接:
赵性泉:脑出血研究进展 | CSC2019
2,神经发育与功能
来源:北大麦戈文脑科学

跨越细胞类群-环路-行为等多层次的研究方式
2019年5月21日下午,受北京大学麦戈文脑科学研究所饶毅教授和李毓龙研究员的邀请,来自耶鲁大学医学院的钟伟民教授和来自冷泉港实验室的黄佐实教授在北京大学吕志和楼3层大厅给北大师生带来题为“Neural development and function”的小型研讨会。
钟伟民教授作了题为“Counting Number and Time by Mammalian Stem Cells”的报告。黄佐实教授作了题为“Genetic Dissection of Cortical Circuits: from Cell Types to Motor Control”的报告。
阅读链接:
【学术笔记】神经发育与功能
3,资源汇总| 几十篇文章叨叨阿尔兹海默症的来龙去脉(值得收藏)
来源:阿尔茨海默和脑健康
今天我们特意将之前的部分文章进行了汇总,方便大家查阅。内容涵盖阿尔茨海默的机理、预防、早期诊断、治疗、照护五大板块,并把相应的文章链接附在上面,方便大家查阅。
阅读链接:
资源汇总| 几十篇文章叨叨阿尔兹海默症的来龙去脉(值得收藏)
1,早期诊断帕金森病,突破性检测手段获得FDA认可
来源:药明康德

错误折叠的α-突触核蛋白
日前,Amprion公司宣布,该公司通过检测脑脊液和血浆中的α-突触核蛋白水平来早期诊断帕金森病(Parkinson’s disease, PD)的检测技术获得美国FDA授予的突破性医疗器械认定。FDA的突破性医疗器械认定旨在加快治疗或诊断危及生命或不可逆失能性疾病的医疗器械的开发和审评过程。
详情链接:
https://mp.weixin.qq.com/s/JLYwbBI7QYrHDRkKmxfmog
2,有望成为重磅药物,艾尔建抗精神病疗法获批扩大适应症
来源:药明康德
29日,艾尔建(Allergan)和Gedeon Richter共同宣布,FDA批准其联合开发的Vraylar(Cariprazine,卡利普拉嗪)扩展适应症,治疗与成人I型双相情感障碍(biopolar disorder)相关的抑郁发作。这一批准标志着Vraylar成为首个可以治疗I型双相障碍所有症状的药物,使其具备成为重磅药物的潜力。
详情链接:
https://mp.weixin.qq.com/s/dR8KWDpe3XcYJqETKpXG7A
3,宜家引入脑电决策系统:心动指数,帮你决定是否购买
来源:脑友记BrainUp
你在一幅艺术品面前左右徘徊,旁边突然显示一个数字100%——恭喜,你心动指数爆表,得到购买资格。这一幕发生在今年5月初,宜家在比利时布鲁塞尔的一次最新实验。
近日,5月7日至5月11日期间,他们在布鲁塞尔一家宜家门店现场给消费者戴上脑电波扫描仪,实时测量他们的脑电波、心率等身体反应数据。
详情链接:
最新 | 宜家引入脑电决策系统:心动指数,帮你决定是否购买
1,脑科学日报:口腔细菌出现在中风患者大脑里;心情不好容易得癌?
2,脑科学日报:游戏成瘾正式成为「精神疾病」;帕金森病疼痛的识别
版权声明:我们致力于保护作者版权,注重分享,被刊用文章【脑电波扫描仪(脑科学日报)】因无法核实真实出处,未能及时与作者取得联系,或有版权异议的,请联系管理员,我们会立即处理! 部分文章是来自自研大数据AI进行生成,内容摘自(百度百科,百度知道,头条百科,中国民法典,刑法,牛津词典,新华词典,汉语词典,国家院校,科普平台)等数据,内容仅供学习参考,不准确地方联系删除处理!;
工作时间:8:00-18:00
客服电话
电子邮件
beimuxi@protonmail.com
扫码二维码
获取最新动态
