这是一次奇妙的极小概率的时间旅行。
昏迷前还是 1991 年,彼时还有苏联的存在,海湾战争炮火连天;等她醒来,已经是 2018 年。
植物人苏醒已是奇迹,而阿联酋女子 Munira Abdulla 的苏醒当属奇迹中的奇迹。近日,她的经历登上多家世界著名媒体的报道。几张近期的照片显示,她坐在轮椅上参观阿布扎比的大清真寺。她现在居住在那里,并接受康复治疗,已经能够进行交流。
她的康复给家庭带来希望。
那是 1991 年的一次交通事故。32 岁的 Abdulla 抱着 4 岁儿子 Omar Webair,坐在汽车后排。碰撞发生时,Abdulla 用身体护住了儿子,自己却受到重创,从此昏迷。
事故发生后,由于无法及时联系救护车,Abdulla 错过了数小时的救护时间。后来在伦敦医院,Abdulla 被诊断为植物人,她对周围环境几乎没有任何反应。
随后,Abdulla 被送回阿联酋的阿莱茵 (AL AIN) 医院。在那里,她靠鼻胃管维持生命,并接受理疗以防止肌肉萎缩。
这期间,儿子 Webair 每天都会去陪伴母亲几个小时,他说,虽然母亲不能说话,但可以从其表情中看出她是否处于痛苦中。
2017 年,Abdulla 获王室资助到德国接受改善手脚肌肉萎缩的手术。德国医生对她进行理疗以及控制癫痫。
奇迹在 2018 年的 6 月出现了。当 Webair 在病房因误会与人争执之际,Abdulla 竟发出奇怪的声音。Webair 叫医生来检查,医生却没有发现什么异常。
三天后,Webair 被母亲叫醒了。没错,母亲在叫他的名字。几周后,她已经能够背诵小时候就熟悉的古兰经。
如今 Abdulla 在阿布扎比继续接受理疗和康复训练,她已经能够和周围熟悉的人交流感受。
Abdulla 能够苏醒,的确令人难以置信。据《纽约时报》报道,鉴于 Abdulla 要面对癫痫和肌肉萎缩的治疗,她难以坐在轮椅上,于是医生给她安装了一种给脊柱输药的装置。德国舍恩诊所(Schoen Clinic)的 Friedemann Müller 博士认为,这可能是促使其加快恢复的一个因素。
植物人状态的患者通常有三类。要么是完全没有意识,眼睛紧闭,对环境完全没有反应;要么是眼睛睁开,但没有意识反应;还有一类则是微弱的意识反应,如果受到刺激可能会移动手指。
像 Abdulla 一样幸运的人寥寥可数,世界上只有少数人能够在进入植物人状态数年后苏醒。
2003 年,来自美国阿肯色州的男子 Terry Wallis 就是在植物人状态下度过了 19 年后苏醒的。科学家希望能用先进的扫描技术来研究他的大脑,这是一个罕见的研究机会。
研究结果发表在 2006 年《临床研究杂志》(The Journal of Clinical Investigation)上,结论是,自 2003 年以来,Terry Wallis 的大脑在自我愈合,已经在形成新的神经连接。
英国国家医疗服务系统(NHS)的看法是,目前无法预测某人处于意识障碍状态时情况能否改善,并且恢复意识的人通常会因大脑受损而导致严重残疾。
对于大部分多年的植物人而言,他们面对的更多可能是另外一种情形。
1975 年,家住新泽西州 21 岁的 Karen Ann Quinlan 在聚会上服用安定和酒精导致昏迷,后成为植物人,她的眼球已经不再同向转动。
接下来的几个月里,她在医院病情加重,体重剩下不到 36 公斤。她还伴有发生无规律的、剧烈的四肢痉挛。加上鼻胃管饲喂和呼吸机,Quinlan 的父母认为她在这样的状态下存活既痛苦也无意义,要求停掉呼吸机。
但这个要求遭到医院的拒绝,院方认为医生基于希波克拉底誓言不可以伤害病人,并且医院还可能面临当地检察官的杀人罪指控。
最终在 1976 年的裁决中,新泽西最高法院宣判 Quinlan 的父亲有权决定 Quinlan 的生死。在拔除呼吸机后,Quinlan 令人意外地能够自主呼吸,依靠鼻胃管饲喂继续生存了 9 年,才因肺炎导致呼吸衰竭而去世。去世时她的体重只有 29 公斤。
Quinlan 一案在人类死亡史上有重要意义,它影响了全世界的医学和法律实践,由此引发了关于道德、伦理、安乐死、法律监护和公民死亡权利等一系列重要议题,医院里的伦理委员会也由此设立。
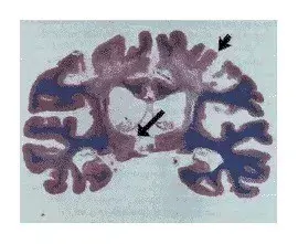
随后科学家研究了 Quinlan 的大脑和脊髓,研究结果发表在 1994 年的《新英格兰医学杂志》(NEJM)。研究发现她的大脑皮层有中度损伤,但她的丘脑两侧损伤更重,而控制呼吸和心脏功能的脑干相对完好。也就是说,丘脑在意识控制中起着特别重要的作用。
图 | Quinlan 大脑的光学显微镜图。短箭头所指是大脑皮层及下面的白质有严重萎缩,长箭头所指是丘脑两侧严重萎缩。
目前还难以预测植物人能不能醒来,以及多久才能醒来。在有记录的植物人案例中,25 岁的印度护士 Aruna Shanbaug 可能保持了最长的植物人生存记录,接近 42 年。
1973 年,Aruna Shanbaug 被医院里的护工用金属链勒住并性侵,之后她就进入了持续性植物人状态,直到 2015 年去世。
在这 40 多年里,她能自主呼吸,对光亮有轻微反应,可以吞咽和消化柔软的食物。
然而,她并没有苏醒过来。
植物人是严重脑损伤后常见的临床表现,是一种严重的意识障碍疾病。其实还可以细分,除了植物人状态,还有一种叫做微意识状态的意识障碍状态。
人在昏迷后 2 周到 4 周内,如果不能醒来,就会进入植物人状态或微意识状态。一个人醒着但没有表现出意识的迹象,能够规律睡眠且能有基本应激反应,但不能作出有意义的意识反应,那么就是植物人状态。
如果患者是由于非外伤(脑中风或阿尔茨海默病)导致植物人长达 6 个月或由于外伤而导致植物人长达 12 个月以上,就属于永久植物人了。永久植物人属于极小可能性苏醒的状态,但并非不可能。
微意识状态的意识障碍患者苏醒可能性较大,他们可以在呼唤时动一下手指。
支持性治疗是必需的。据英国 NHS,大部分意识障碍患者需要通过鼻胃管饲喂输送营养来存活,他们需要定期挪动,活动关节,清洁皮肤,保持牙齿卫生,疏通肠和膀胱,以及听音乐、看电视和熟人谈话都会提高患者的刺激响应。
植物人苏醒的可能性取决于患者受伤的类型、受伤的严重程度、受伤时的年龄以及植物人状态持续的时间。NHS 提示说,如果一个人处于植物人状态长达 12 个月,就可以考虑撤销营养支持。因为这样的患者苏醒可能性渺茫,延长其生存没什么价值,而只能给人虚假的苏醒希望,给家人朋友不必要的困扰。
解放军总医院第七医学中心神经外科主任医师何江弘在接受 DeepTech 采访时表示,阿联酋的 Munira Abdulla 是植物人状态最久的苏醒过来的患者,因为植物人状态越久,其大脑功能因为活动限制就会衰退加重,恢复的可能性就越低,最终的治疗效果也就越差,同时落下残疾的可能性就更大。
在他看来,此前一些媒体报道的植物人苏醒案例不一定可靠,因为一些所谓的植物人可能很早就有了意识,但未被发现。
植物人中当属外伤所致发病最多、也是预后最好的。何江弘分析说,外伤虽然受伤很重,但是无论是哪个器官或部位出血都是局限性的,而对于脑卒中或缺血缺氧脑病,它都是全脑范围的更大破坏,这就更难恢复。
植物人的治疗手段一直在探索中。4 月 16 日,一篇《柳叶刀-神经病学》(Lancet Neurol)文章《长期意识障碍患者的治疗干预》指出,即使在植物人状态多年后,治疗干预也可能是有益的,尤其是药物金刚烷胺和经颅直流电刺激的研究效果较好。
2018 年美国神经病学会更新发布的《意识障碍实践指南》提到,根据一项随机对照试验,对脑外伤后 4 周到 16 周植物人状态和微意识状态患者推荐使用金刚烷胺,后者是一种抗病毒和抗帕金森病药物。
此外,《柳叶刀-神经病学》文章还提到,多项随机对照试验证明,经颅直流电刺激对于微意识状态患者可能有效果,且没有发现副作用,但并非所有此类患者都有效果。
版权声明:我们致力于保护作者版权,注重分享,被刊用文章【植物人苏醒案例(现实版的未来穿越)】因无法核实真实出处,未能及时与作者取得联系,或有版权异议的,请联系管理员,我们会立即处理! 部分文章是来自自研大数据AI进行生成,内容摘自(百度百科,百度知道,头条百科,中国民法典,刑法,牛津词典,新华词典,汉语词典,国家院校,科普平台)等数据,内容仅供学习参考,不准确地方联系删除处理!;
工作时间:8:00-18:00
客服电话
电子邮件
beimuxi@protonmail.com
扫码二维码
获取最新动态
