点击文末了解更多:【“没想到,我和儿子最后都成了小细胞肺癌患者”!】
小儿房缺又称小儿房间隔缺损,小儿房缺约占先天性心脏病的7%~15%,女孩较多见,为心房间隔在胚胎发育过程中因某些因素造成发育不良,如吸收过度或发育障碍,导致左,右心房间出现通道。房间隔缺损的大小不等,多数为单个缺损,部分可为多个或呈筛孔状缺损。
房间隔缺损的大小不等,多为单个,部分可为多个或筛孔状。
房间隔缺损的症状随缺损大小而有区别,小型缺损,左向右分流量少者可长期无症状,小儿活动量正常。大型缺损患儿左向右分流量大,症状发生较早,并随年龄增长会更明显,可表现为活动后气急、乏力等,生长发育多落后于同龄正常小儿,并易患呼吸道感染、肺炎等内科疾病,严重者早期发生心力衰竭。
小儿房缺的患儿,在心房水平有左向右分流,由于右心血流量增加,所以肺循环血流量增加,逐渐导致右心房,右心室扩大。患儿常见的症状有运动后心跳气短,易感乏力,容易发生呼吸道感染。而当房缺较小,左向右分流量少时,患儿可长期无症状。
据医学统计资料报告,约有半数房缺患儿在确诊时并无症状,貌似正常小儿,往往在健康体检时才被发现;而且房缺的小儿大多数体格发育正常。缺损大的患儿,则出现症状较早,严重者可早期(婴儿期)发生心力衰竭,查体可见心前区饱满,在胸骨左缘第2,3肋间可听到2-3级较柔和的吹风样杂音,一般患儿无紫绀,及指甲颜色发紫。医生根据患儿的症状及杂音的特点即可初步诊断,而确诊房间隔须常规进行下列检查。
1、胸部X线检查,缺损小,分流量少时,心肮X光片改变不明显;缺损大者心影可增大呈梨形,以右心房,右心室增大为主,肺门血管影增粗,肺动脉段膨出,肺野充血明显。
2、心电图检查可显示不完全性右束支传导阻滞。
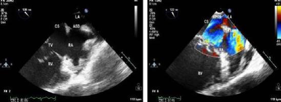
3、超声心动图检查可显示房缺的位置和大小,这是诊断房缺的有力证据。
一般的病例经上述检查诊断并不困难。对某些不典型的复杂病例还须进行右心导管检查,对先天性心脏病患儿是有价值的诊断方法,通过这一检查可明确房缺的诊断方法,通过这一检查可明确房缺的部位,大小,确定是否伴有其他畸形,可为诊断及手术治疗提供可靠的依据。
根据房缺的大小和左向右分流量的多少需采取不同的治疗对策。
1、有较大量左向右分流的患儿在施行手术之前常合并肺炎和心力衰竭等内科疾病,此时需进行内科治疗,如积极用抗生素控制肺炎、呼吸道感染;有心力衰竭者应进行抗心衰治疗,使用地高辛,利尿剂及扩张血管药物等。
2、对有较大量左向右分流的房缺患儿,又无内科合并症时则需手术治疗。一般采用体外循环下修补房缺。尤其近30年来我国心脏外科发展迅速,技术日趋成熟,对房间隔手术矫正畸形疗效满意。手术适宜年龄为4~5岁。
3、近年我国开展了用不开胸的方法治疗房缺的新技术,通过使用心导管关闭房缺,也就是心导管用微型折伞关闭房缺已获成功,给房缺患儿带来了福音。
4、对无症状的房缺,即在医学上称小型块损者,因无明显血液动力学改变(左至右分流量少),多不需手术治疗,但必须定期到医院检查心脏。
小儿房缺应与功能性杂音、肺动脉瓣狭窄、肺静脉异位引流、室间隔缺损等鉴别。
1.功能性杂音其收缩期杂音较短,无固定性第二音分裂以及心电图、X线检查和心脏超声可帮助鉴别。
2.肺动脉瓣狭窄杂音响亮、呈喷射性,常伴震颤,P2减低或缺如,X线可见肺纹理稀少,肺野清晰,右心导管检查可发现右心室与肺动脉间有收缩期压差。
3.肺静脉异位引流。
4.室间隔缺损杂音位置较低,多伴有震颤,除右心室肥大外,左心室亦常肥大,心脏超声及右心导管检查有助诊断。
5.原发孔未闭与继发孔未闭的临床表现极为相似。房缺患者心尖部闻及反流性收缩期杂音,心电轴左偏,P-R间期延长或伴不完全性右束支传导阻滞,应高度怀疑原发孔未闭。二维超声或右心导管检查示缺损的部位较低,接近三尖瓣口附近。右心房血氧含量增高,右心室更高,多普勒彩超或心血管造影可明确房室通道或二尖瓣关闭不全等改变。
6.房缺合并畸形
(1)Lutembacher综合征:即房缺合并二尖瓣狭窄,心血管造影可确诊。
(2)房缺合并肺动脉口狭窄(法洛三联症):10%~15%房缺合并肺动脉口狭窄。肺动脉瓣区杂音响亮而粗糙,有震颤,P2减弱或消失。V1导联R波多高于1.6mV,右心导管检查可确诊。
(3)房缺合并室间隔缺损:较单纯性房缺严重,临床表现类似室间隔缺损伴肺动脉高压。心电图示双心室增厚,心电轴多右偏。确诊有赖于心导管检查及心血管造影检查。
(4)房缺合并肺静脉异位引流:房缺中约15%合并肺静脉异位引流。临床表现与房缺相似,但程度略重,确诊有赖于心导管与心血管造影检查。
(5)单心房:房间隔完全缺如,左右心房不分,血液混合,多有轻度发绀。临床表现与完全性心内膜垫缺损相似。心导管检查左心房、右心房、双心室、肺动脉、主动脉血氧浓度几乎相等。多普勒彩超和心血管造影可助诊断。
房间隔缺损患儿,如果缺损较大时分流量也大,导致体循环血流量不足而影响身体智力发育,表现为体形瘦长、面色苍白、乏力、多汗,活动后气促。因此,较大缺损的房间隔缺损患儿应及早进行房间隔缺损手术。
房间隔缺损是左右心房之间的间隔发育不全,遗留缺损造成血流可相通的先天性畸形。房间隔缺损根据胚胎发育可分为继发孔型及原发孔型缺损两大类,前者居多数。
有的房间隔缺损患者虽无明显症状,但房间隔缺损患者多有体力缺乏,容易怠倦和呼吸困难,因此对身体智力发育有一定影响。房间隔缺损是一种很常见的先天性心脏病,房间隔缺损一般难以早期发现.房间隔缺损症状随缺损的大小而有区别。
小型房间隔缺损,左向右分流少者可长期无症状,儿童时期活动量正常.大型房间隔缺损患儿左向右分流量大,症状发生较早,并随年龄增长会更明显,可表现为活动后气急,乏力等,因而对患儿身体智力发育有一定影响。
一般房间隔缺损小于5毫米,临床上房间隔缺损自愈的情况还是很有可能的。建议定期复查,到2岁左右再决定是否手术。房间隔缺损患儿家长平时应注意喂养。预防感冒。
如果房间隔缺损大于5毫米,即使患儿无明显症状也应及早手术治疗。主要是大型房间隔缺损孩子容易反复感冒肺炎。如果有这类情况建议还是需要手术治疗的。不然房间隔缺损对小孩身体发育智力发育有很大的影响。[1]
房缺伴有室缺有自愈的可能性吗?房缺伴有室缺自愈的可能性有多大呢?一般来说单纯性房缺和室缺在一定条件下都有自然愈合的可能性,但是如果是这类情况,房缺合并室缺一般来说是很难自愈的。
作为两种通常的先心病,房缺和室缺都有着独立的特点。
如果是单纯的房缺和室缺,缺损口小于0.3CM在一岁前基本上是能够自愈的,小于0.5cm有很大的可能性自愈,小于1cm在孩子一岁前也存在着一定的可能性。
但是如果大于1cm,大于一周岁基本上是没有自然愈合的可能性的。那么房缺合并室缺的情况,基本上是很难自愈,及时都是在可能自愈的条件内,由于是综合先心病,因此是没有自愈情况的。
房缺是医学儿科中最通常的先心病之一,一般来说婴幼儿房缺患儿症状是较轻的,有的甚至是没有症状发生。这主要是由于房缺的大小不等,多数是单个的缺损口,但是也存在着筛孔型也就是多孔型的。因此房缺的症状是否明显和缺损口大小有着不可分割的联系。小型的缺损口,也就是小于0.5cm房缺由于分流小是没有症状的。
但是会随着病人年龄的增长而显现出来,可现象为活动后气急、乏力等,滋长发育多落后于同龄正常小儿,并易患呼吸道感染、肺炎等内科疾病,严重者早期发生心力衰竭。但是大型的房缺病人症状则会发生较早,并且随着年龄的增长更明显总体自然闭合率约30%~49%,其中小于5mm房间隔缺损自己长好的几率为70%以上,大于8mm房间隔缺损自己长好的可能性极小,数据显示绝大多数继发孔型房间隔缺损自然闭合发生于2岁前,因此大多数心脏病医院将房间隔缺损病人手术时间定在2岁左右。当然,症状明显、发生充血性心力衰竭患儿的手术时间不受年龄限制,及早手术治疗为佳。
室缺同样是通常的小儿先心病,约占总发作率的30%50%,多见于男孩。可单独存在,也可与房缺、肺动脉狭窄、动脉导管未闭、大动脉错位等畸形并存。一般来说膜周型(直径小于5mm)室缺、肌部型(直径小于5mm)室缺有很大的可能性能自愈。室间隔缺损自愈的一般规律是,小缺损闭合率高,大缺损闭合率低;肌部、膜周部缺损闭合率高,圆锥部缺损不能自行闭合;2岁以内闭合率高,2岁以上闭合率低;合并肺动脉高压者很难自行闭合。
综上所述,单纯的小型房缺和室缺在患儿一岁前有很大的可能性能够自愈,但是如果是合并在一起的,却基本上是没有自愈可能性的。因此,小编在这里建议家有房缺合并室缺的患儿一定要及时入院诊断和治疗。
生活要有规律
先心病病人出院后身体比较虚弱,要注意休息,不要过多看电视和玩耍,要保证足够的睡眠,要保持适宜的温度和湿度,家人及外人不要在病人居住的卧室吸烟,为保持空气新鲜,每天上午可开窗通风半小时,开窗时要注意保暖,时间不宜过长。若无条件洗澡,可用湿水擦洗,保持皮肤清洁。出院3个月内,不宜到公共场所活动,防止感染疾病。
注意饮食卫生
病人出院后要注意补充营养,一般没什么特殊禁忌,但应食用价值高易消化的食品,如瘦肉、鱼、鸡蛋、水果和种种蔬菜等。一般病人不必限制盐量,复杂畸形,心功能低下,术后持续有充血心力衰竭者要严格控制盐的摄入,成人每天控制在4-8克,小儿2-4克,并给予易消化的软食,如混饨、面条、稀饭等。先心病病人宜少食多餐,食量不可过饱,更不能暴食,以免加重心脏负担。饮食要新鲜,符合卫生学要求,以防腹泻加重病情。小儿要控制零食、饮料,不要食用不清洁、过期或含色素及仪器添加剂加剂较多的零食。
注意适当的活动
对于手术顺利,畸形矫正满意,术后恢复较快的病人,出院后一般不限制活动,心功能在I、II级者,可根据情况适当做些日常生活中力所能及的体力活动,活动量以不引起疲劳为度。活动范围应先室内后室外。大多数病人出院后如无病情变化,3个月后就可上学或上班,由轻工作逐渐过渡正常工作。如感到劳累或心慌气短应停止工作,继续休息。术前病人心功能在III级以上,心脏重度扩大,重症肺高压病人,心脏恢复正常或基本正常较长的时间,出院后不要急于活动,要注意休息,保持体力,随病情适当活动量,但不要感到疲劳,以免加重心脏负担。
出院后用药
简单的先天性心脏病人,术后恢复较好,心功能正常,一般不需要使用强心利尿剂,复杂畸形及重度肺高压或心功能较差的病人要根据畸形矫正情况,在医生指导下使用强心利尿药或血管扩张药,病人应严格按照医生的嘱咐用药,不可随意乱服用,以免发生危险!
版权声明:我们致力于保护作者版权,注重分享,被刊用文章【5岁孩子房缺自愈案例(程云阁)】因无法核实真实出处,未能及时与作者取得联系,或有版权异议的,请联系管理员,我们会立即处理! 部分文章是来自自研大数据AI进行生成,内容摘自(百度百科,百度知道,头条百科,中国民法典,刑法,牛津词典,新华词典,汉语词典,国家院校,科普平台)等数据,内容仅供学习参考,不准确地方联系删除处理!;
工作时间:8:00-18:00
客服电话
电子邮件
beimuxi@protonmail.com
扫码二维码
获取最新动态
