痛风是由于血尿酸水平持续升高,导致单钠血尿酸在关节和其他组织中沉积所致。高尿酸血症和痛风与糖尿病、高血压、心血管疾病、慢性肾脏病等密切相关,是上述疾病发生发展的独立危险因素,也直接导致了患者长期生活质量的下降和寿命的缩短。痛风已成为威胁人类健康的重要问题,我国近年来青壮年发病显著增多。
高尿酸血症和痛风患者发病率不断升高
典型的痛风性关节炎的早期诊治并不难,秋水仙碱、非甾体抗炎药以及选择性使用小剂量糖皮质激素可较好地控制病情。但对于临床常规药物治疗效果不佳且反复复发难愈的患者,常因有效治疗方法少而影响患者的病情缓解,尤其是关节出现痛风结节(痛风石)和功能障碍患者更是四处求医。
如何正确规范治疗痛风关节炎、痛风石,减轻患者关节疼痛,组织骨质破坏,恢复正常活动能力,并且避免复发危害,一直是风湿免疫学界的一个重要研究课题。目前,风湿免疫学界正在推行的临床治疗痛风石外科手术治疗主要采用针刀镜微创治疗,这也受到越来越多专业医生及患者的关注。
在此,老刘提醒大家,出现痛风石的痛风患者,切忌盲信偏方、保健品,应选择专业的风湿免疫科治疗,尽早正确地向医生描述症状,接受专科医生的诊断和治疗。
随着痛风病情进展,往往会引起大小不一的痛风石的发生。痛风石的出现,意味着痛风病程已经进入了第四阶段,疾病已经越发严重了,如果继续放任痛风发展,痛风就要开始“攻占”人体器官了。痛风石可分布于全身各部位,早期无明显症状,随着疾病的发展可出现局部破溃甚至坏死,少有继发感染,位于骨骼关节的痛风石可引起骨骼关节的破坏,严重时可导致畸形、截肢。
X线下双手痛风石
痛风石这种“石头”可不一般,这种尿酸钠结晶沉积于软组织,引起慢性炎症及纤维组织增生形成的结节肿。
痛风石可见于任何关节软骨(透明软骨或纤维软骨)、滑膜、触鞘及其周围软组织;好发于外耳的耳轮、尺骨鹰嘴、指间和掌指关节、指端皮肤、手掌、腕关节、跖趾、踝关节、足背、足底、膝关节等处;少数病人可出现在鼻软骨、舌、声带、眼睑、主动脉、心瓣膜和心肌;大动脉、心肌、主动脉瓣、二尖瓣、三尖瓣、舌、会厌、也会出现痛风石;躯干部,如肩、胸、腹、背、腰、臀等处少见,大腿及上臂等处少见;可在关节附近的滑囊膜、腱鞘与软骨内发现。内压增高,常常会使局部皮肤膨胀、紧张、菲薄、发亮。加上尿酸盐结晶的侵蚀作用,覆盖其上的皮肤完整性受到破坏,抗牵拉性下降,一旦因摩擦、受压、受冻以及创伤等原因可发生溃烂,“牙膏样”白色尿酸盐结晶物质就会从破溃的洞里“漏出来。
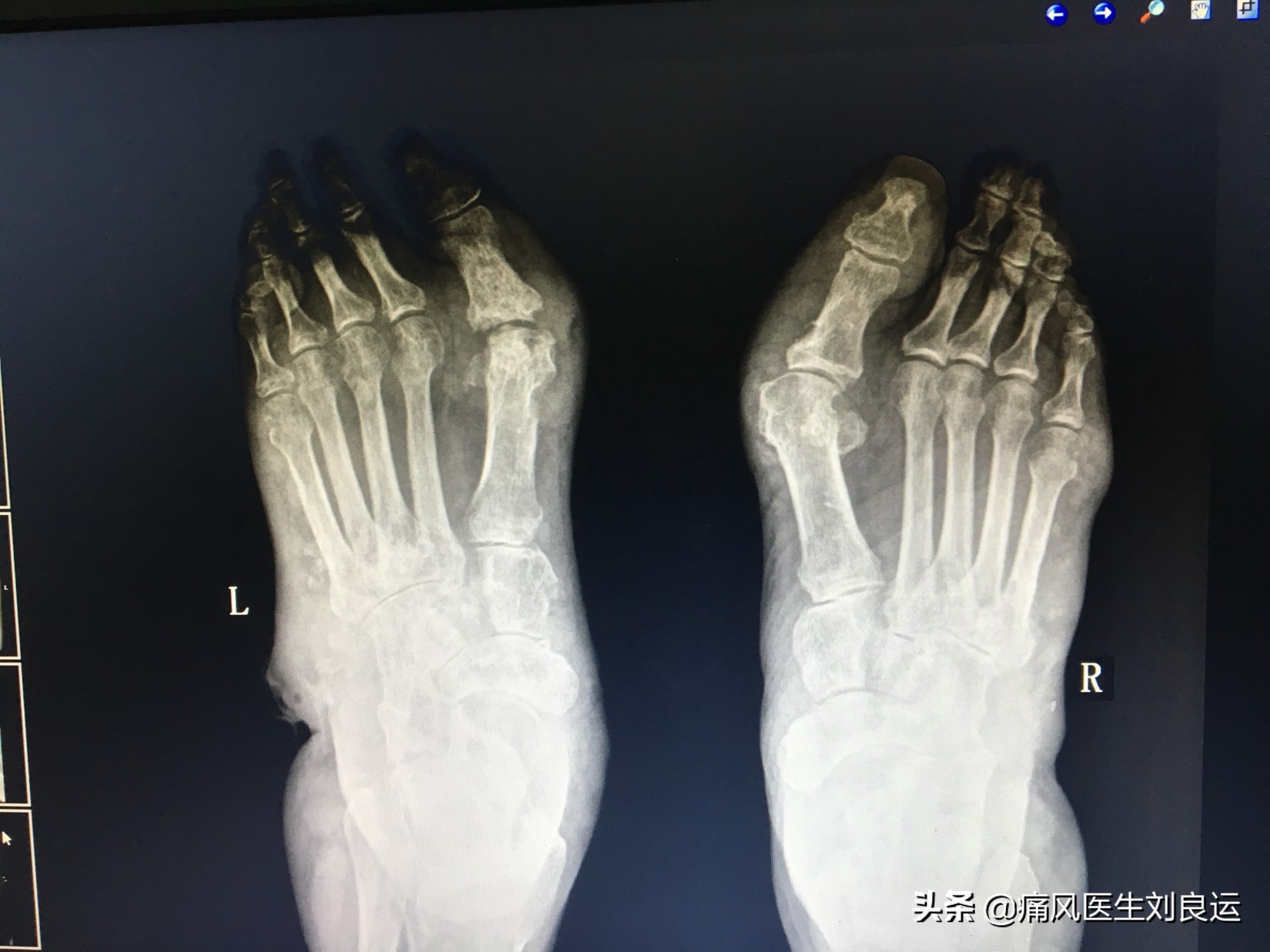
X线下双足痛风石
痛风石是痛风的特征性改变,痛风石的形成与病程、血尿酸水平有关。病程越长,发生痛风石的几率就越大。高尿酸血症持续时间越长,越易发生痛风石。反之,痛风石越多、越大,表明高尿酸血症未得到很好控制,即病情越重。有些患者,病程虽己很长,但治疗后血尿酸长期保持在正常范围内,很少发生痛风石。痛风石不同病情有不同的临床表现:
轻度痛风石:痛风石大小稳定,生长缓慢,累及单一关节;关节无异常分泌物;无侵袭性的团块或结缔组织破坏;无严重的慢性痛风石性的关节炎症。中度痛风石:痛风石大小稳定,生长缓慢,累及2-4各关节。重度痛风石:痛风石累及的关节超过4个或是关节有异常分泌物;侵袭性团块或结缔组织破坏;感染风险较高;痛风石不稳定,生长迅速;严重的慢性痛风石性的关节炎症。痛风患者身上出现痛风石时,不光光是影响了美观,还会带来各种各样的烦恼:
当痛风石逐步增大时,组织内部的压力也随之增高,受累部位的皮肤膨胀、紧绷、变薄、发亮,加上尿酸盐结晶的侵蚀作用,覆盖其上的皮肤完整性受到破坏,皮肤完整性受到破坏,抗牵拉的能力下降;部分少见部位的痛风石,如脊柱痛风石可出现神经压迫的症状。痛风石的部位一旦受到摩擦、受压、受冷、受热或创伤时,容易发生破溃,流出牙膏状的白色尿酸结晶。这些破损的皮肤部位再生能力差,难以自行愈合,破损时间久了就会形成瘘管,瘘管周围组织长期受到尿酸结晶的刺激就会炎症性肉芽肿。一般而言,痛风石部位的皮肤破溃和瘘管不容易继发细菌感染,但凡事总有个万一,如果继发细菌感染并经久不愈,就可能形成慢性化脓性病灶。破溃处由于血液循环差,细胞再生力弱,加上感染和慢性肉芽肿等原因,难以自行愈合。
要注意痛风石如果有表面伤口破皮容易流出白色尿酸盐结晶,宜注意有无并发细菌感染;也不宜只由患者自行处理,应尽速就医评估,以避免感染扩散甚而造成骨髓炎、坏死性筋膜炎、败血症等严重并发症。
X线下肘关节痛风石
患者:
陈某,男,63岁,2020年6月3日初诊。
主诉:
患痛风10+年,期间双足、膝、手、肘关节间断性交替发病,现左手中指鹌鹑蛋大小痛风石形成4+年,伴双腕关节疼痛4+天。患病期间前后从未接受规范治疗,急性期在当地医院及诊所就诊,静脉滴注消炎类药物及地塞米松等,口服长期反复秋水仙碱等止痛,导致胃部不适近2年停用,平时有饮酒。为求进一步诊治,于家属陪同来我院就诊。
检查:根据患者病情需要于当天安排住院治疗,期间检查尿酸511.4umol/L;血常规、肝功能、肾功能、葡萄糖、凝血未见异常;腹部彩超显示双肾尿盐结晶沉积;DR左手多关节痛风石伴骨质轻微破坏。
陈某左手中指鹌鹑蛋大小痛风石
治疗:
根据病情给予药物镇痛和保护骨关节、预防感染;后口服药物降尿酸、消炎镇痛和对症痛风急性发作、碱化尿液;给予口服中药清热除湿、和血化瘀、祛风止痛;经患者及家属同意后,给予患者指关节针刀镜下痛风石切除治疗,术后给予药物预防感染,术后给予关节松动训练局部对症支持治疗;结合免疫吸附清除全身免疫复合物治疗。出院复查:
白细胞数目11.14x10-9/L;尿酸452.2umol/L;其他指标无异常。经住院后患者症状得到改善,术后局部切口皮肤色泽红润、皮纹清晰、皮温正常、皮缘光整、无渗出物,顺利出院。
陈某左手中指痛风石微创手术后
以往临床针对痛风石,常采用外科手术切除痛风石,但外科切除只用于痛风石影响关节功能、压迫神经者,临床应用有一定局限性,此外,手术创伤较大,往往会切除因尿酸盐侵蚀的坏死指(趾)或矫正畸形的关节,致使痛风石治疗成为当今临床治疗的难题。
随着临床对痛风石认识不断深入,及中西医相互结合治疗痛风石的发展,针刀镜微创治疗以微创、手术适应范围扩大、手术创伤小、术后恢复快等特点,成为当前治疗痛风石主要的手段之一。
针刀镜是在中医经筋理论的指导下,结合现代医学关节镜的技术,在微创、可视条件下,利用针刀镜技术灌洗关节腔、清除关节内炎症因子,利用小针刀松解肌腱两侧粘连的横络,消除关节外组织粘连,实现对关节内外、筋膜及软组织“横络”的“解冻”;是中医外治的开发和应用,是中西互补的特色诊疗手段,是用于诊断和治疗关节及软组织疾患的新型内窥微创系统。
针刀镜下关节内散在尿酸盐结晶
针刀镜系统系统是由影像系统、冲洗系统、刨削系统、射频系统和手术器械构成。针刀镜主要在关节或软组织病变处开一豆粒大的小孔,将具有照明的光纤连接摄像机设备插入关节腔内,将关节或软组织内部放大的图像通过数据线输入电脑,电脑数据分析成像在显示屏上,以观察关节内的病变情况,同时可插入检查或手术的器械,在显示屏监控下进行全面检查和手术治疗。
针刀镜通过钝剥关节内滑膜、软骨表面及充分灌洗关节腔,清除关节滑液及滑膜、软骨表面的致炎因子和沉积物,减轻其引起的机体免疫应答反应,从而遏制疾病进展。同时,通过解除关节内外的组织黏连、剥削增生的滑膜和尿酸盐结晶,改善关节活动度,恢复关节功能。针刀镜能明显缓解难治性痛风石关节炎患者关节疼痛和改善关节功能,结合药物治疗,能减轻全身炎症程度和降低血尿酸水平。
尤其以下临床状况适用针刀镜治疗:
指间关节等小部位的痛风石;沉积关节表面痛风石;滑膜、肌腱、韧带等处的尿酸盐结晶;无症状高尿酸血症期有尿酸盐结晶沉积影像证据需防急性痛风发作;急性痛风发作期炎症和疼痛明显;间歇期需要进行清除关节尿酸盐结晶治疗和防复发治疗;慢性痛风石病变期需降尿酸溶石和关节清理尿酸盐结晶;痛风石诊断依据不足,需病理活检者;最大化药物治疗仍难治的痛风疾病;需要降低身体尿酸总量,控制痛风发作;由痛风石导致的疼痛控制不佳,痛风石造成的神经压迫或卡陷;没有得到控制的痛风石或反复的感染;痛风石影响美观;痛风石造成关节不稳定,痛风石造成的关节活动障碍或功能损伤;因关节尿酸盐结晶无法穿鞋或衣物;由外观导致的显著情绪痛苦;痛风石破溃、伤口经久不愈,或痛风石内容物质即将突破皮肤流出。针刀镜设备
针刀镜切口小、时间短,运用内窥镜、冷光源、导光束等设备结合提供关节内视野,有助于进一步诊断和制定更详细的治疗方案;通过液体冲洗和器械的刨拔,可以直接清除大量尿酸盐结晶和痛风石,针刀镜治疗的主要原则是降尿酸与抗复发相结合,降尿酸与溶石相结合。主要步骤包括:
① 用手术刀切开皮肤,切口小于0.5cm;② 平口刀切入关节囊,剥离刀疏通关节通道;③ 微创针刀镜鞘芯扩张通道;④ 将鞘芯插入鞘套,由通道放入体内,调至需观察部位,取出鞘芯,放入内窥镜;⑤ 接连灌洗液入路通道灌洗;⑥ 快速逐层清理滑膜及结晶等;⑦ 缝针、消毒、置药及包扎好伤口。在镜下对附着在软骨、滑膜及软组织中的痛风石进行剥离、刮除、清理
通常来说针刀镜进行痛风石取石后,术后即可下床,但不少痛风患者痛风石部位在脚部、踝部和膝部,因此术后建议:
术后12小时内平卧休息,3-5天内避免剧烈活动患处,保持伤口干净卫生;注意休息,适当进行一些活动,以保持关节的活动功能;疼痛严重者应卧床休息,关节制动,软枕抬高,做好生活护理;关节注意保暖,勿受寒冷刺激,尤其阴雨天气,戴护具保暖,保护关节,室内温湿度适宜;进行必要的功能锻炼,如游泳、散步等,以维持肌力和保持关节活动,但应注意避免过度活动引起损伤;病人因体位改变,出现剧烈的疼痛和功能障碍,应立即扶病人平躺,协助医生帮助病人松解关节,减轻疼痛;病人行走不方便,卧床期间要做好生活护理,定时洗头抹身、修剪指甲胡须,整理床,使病人舒适;饮食宜清淡易消化,多吃蔬菜水果,忌生冷、发物及煎炸品;做好病情观察及安全防护措施,防止病人跌倒损伤;保持安静、舒适,避免噪音,保证病人得到充足的休息。针刀镜下痛风石沉积关节的尿酸盐结晶
通常来说,在痛风石取出之前,正常的关节腔内是有少量的关节液,关节腔内表面覆盖一层膜,我们叫滑膜,关节液就是由滑膜分泌并吸收的。关节液的作用是营养关节软骨、润滑关节、减少关节活动时的摩擦,并且不断循环更新。
在针刀镜进行痛风石取石后,我们需要观察关节肿胀、疼痛的变化,关节肿胀较甚,疼痛加重,应警惕关节内积液。
痛风石手术后有积液,其实一般人根本不用担心,通常而言,针刀镜取石技术已经比较成熟,一般不会出现手术失败的情况,除非伴有明显的疼痛,肿胀,甚至发烧。我们才需要跟风湿免疫科或痛风科的主诊医生联系。一般这种肿胀和积液都会逐渐消失,消失的时间,每个人因人而异,这是由手术的种类、术中的情况不一样而定的。
针刀镜下痛风石治疗
临床上经常痛风石手术后病人照一个核磁,发现关节里面有积液,于是就开始害怕,其实完全没有必要。都先去找医生看一看到底是什么病,找找病因。积液往往不是因为手术失败,而要去看造成疼痛或者是症状的主要原因是什么,而积液只是疾病带来的副产品。
积液出现的原因主要包括:
手术创面渗出,痛风石过大,手术切口大、创面大,所以术后渗出多;血块阻塞等造成皮下血流不通畅,造成手术区内的渗液不能及时引出形成积液;术后未能及时换药,导致伤口出现感染;术后关节部位活动范围过早扩大。大部分情况下,如果针刀镜术后出现积液并有疼痛肿胀的情况,马上抽积液不是正确的治疗方式。首先要根据积液出现的原因,患者可以在创面加压、及时换药以及注意活动时间切勿过早等方面去预防处理。
因为关节腔积液的原因各不相同,单纯的抽积液并没有针对病因治疗,抽完积液往往还会复发。但是医生有时候还是会进行抽积液,这主要基于两点考量:
关节腔内积液量很大,导致局部肿痛和活动受限症状非常重,抽积液可以临时性但有效地缓解症状;抽积液后通过观察积液的颜色、浑浊度等性状,包括进行一系列的化验,可以帮助医生来明确积液的原因以进行下一步治疗。抽积液治疗后为避免积液再次出现,我们还要注意以下事项:
多休息;弹力绷带局部加压包扎;积极治疗痛风,降尿酸;局部应用抗炎药。#健康科普排位赛#
版权声明:我们致力于保护作者版权,注重分享,被刊用文章【痛风石怎么消除(痛风石可以做手术取石吗)】因无法核实真实出处,未能及时与作者取得联系,或有版权异议的,请联系管理员,我们会立即处理! 部分文章是来自自研大数据AI进行生成,内容摘自(百度百科,百度知道,头条百科,中国民法典,刑法,牛津词典,新华词典,汉语词典,国家院校,科普平台)等数据,内容仅供学习参考,不准确地方联系删除处理!;
工作时间:8:00-18:00
客服电话
电子邮件
beimuxi@protonmail.com
扫码二维码
获取最新动态
