来源:南方医科大学南方医院脊柱骨科 季伟
前路经寰枢关节交叉(对侧)螺钉固定:两例病例报告及技术说明
目的:前路经寰枢关节内固定是一种大家熟知的技术,即通过颈椎前路将螺钉置入枢椎椎体并通过寰椎侧块。但是,关于交叉螺钉固定仅在解剖研究中有过描述。
方法:我们描述了这项新技术在临床应用的两例病例报告。
结果:在病例1中,患者被诊断为不稳定的C1骨折。该病例的临床特点导致其不允许任何类型的后路寰枢椎融合、Halo架固定、或常规前路固定。在本例中通过对侧轨迹将螺钉插入右侧侧块前1/3处。病例2为一名寰枢椎后侧脱位合并齿突骨折,由于合并心脏疾患而无法卧位的患者。即使在骨折处切除瘢痕组织后,寰枢椎脱位复位仍不充分,无法施行经齿突融合固定术。考虑到既往的成功案例,对患者经小切口采用Reindl和交叉螺钉固定技术行寰枢椎固定。
结论:这两个病例体现了寰枢椎前路经关节交叉螺钉固定技术在后路寰枢椎融合不可行情况下的潜力。如果使用Reindl技术置入一颗螺钉,而通过交叉置入另一颗螺钉,可仅需单侧入路。
关键词:前路经C1-C2关节固定,寰枢椎不稳,对侧螺钉置入,Jefferson骨折,隐匿性齿突骨折。
寰枢椎前路经关节固定最早由Lu等人于1998年报道,为此技术提供了解剖学基础[1],对通过颈椎前路将螺钉置入枢椎椎体及寰椎侧块的方法进行了详细介绍。Reindl等人报道了第一个临床应用:使用短螺钉在C2侧块前隆突下的点进行置钉。2005年Sen等人对该技术进行了生物力学研究,在屈伸试验中证实了经关节前路固定的高稳定性和轻度降低融合刚度[3]。Koller等人在2006年报道了由C2前缘附近成功置入螺钉的技术,能够置入比Reindl等人所描述技术更长的螺钉[2]。Lapsiwala等人研究发现前后经关节固定的刚度没有显著差异[5]。
2015年,Ji等人报道了一项尸体研究的结果,并论证了第三种经关节前路固定时螺钉插入轨迹的选择[6]。进钉点位于C2椎体的前外侧缘,距离下终板5mm,距中线更偏一侧的位置上。螺钉穿过整个C2椎体并进入对侧寰椎的侧块。这个进钉点允许通过同样的方法将另一个较短的螺钉插入寰椎的同侧侧块。到目前为止,还没有文献报道该前路经寰枢关节交叉螺钉固定技术的临床应用。
我们在此提出两个病例报告(2014年、2015年各一例),概述了对侧前路固定技术在临床中的应用。
案例1
数据及检查结果
2014年5月,一名50岁男子因车祸入住我院。颈椎计算机断层扫描(CT)显示寰椎前弓及后弓多处骨折,侧块后1/3处分离(图1,左)。患者出现严重的颈部疼痛,当移动头部时疼痛剧烈,除此之外,无神经系统症状。同时合并有脑外伤、左侧额、颞部线性骨折以及头部软组织损伤,使我们在很长一段时间内无法使用Halo架固定。
最初,我们计划使用Harms技术进行C1-C2固定,用螺钉将寰椎碎裂的侧块融合。然而,病人的解剖特征使得这一方法不可行:其椎动脉位于C2椎体右侧,使右侧无法进行关节融合术。而C2右椎弓根、峡部、弧形部体积小,也使C1-C2的后路螺钉固定技术无法实施(图1,右侧)。由于这些限制,我们采用了前路经寰枢关节交叉螺钉固定技术(图2)和后路的Magerl技术[7]。
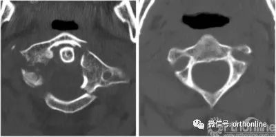
图1
图1案例1:颈椎术前CT扫描,左C1椎体多节段骨折,C2椎弓根、关节旁变薄,C2侧块的前缘两侧变薄;CT,计算机断层扫描
图2
图2前路经C1-C2关节螺钉固定术中螺钉插入对侧轨迹示意图:正位视图(左)和侧位视图(右)
手术实施
首先,我们在患者仰卧位时使用Halo架进行头部固定。根据颅骨骨折和皮肤伤口的位置放置一根Halo架的钢针,总共使用三根钢针固定Halo架,这使得我们可以在手术过程中进行适当的复位和固定。同时,采用牵引来复位垂直寰枢关节脱位,根据经口X线摄片来设计对侧螺钉置入的皮肤切口。
在双平面x线引导下,将K-wire穿过C2椎体下边缘并插入寰椎对侧侧块(图3a),并用其钻通骨隧道。在骨隧道中插如一根空心皮质内固定螺钉(直径4mm,长度38mm),螺钉头在C2椎体的位置有利于左侧关节的Reindl固定。然而,C2双侧侧块明显变薄(CT数据;图1,右)使得我们无法实施这种方法。
在使用Halo架的同时,将患者翻身至俯卧位,采用标准技术用直径4mm、长度40mm的空心皮质内固定螺钉进行左侧单侧经关节固定[7](图3 b)。x线图像及CT对照数据见图3c,d。在术后拆除Halo架。
图3
图3病例1:固定时x线及对照CT扫描;a、使用对侧轨迹将克氏针置入右侧侧块;b、左侧单侧后路经关节固定;c、开口位x线;d、置钉后的三维CT扫描图片(轴位);螺钉位于寰椎两侧的侧块,左侧为双皮质;CT,计算机断层扫描
术后随访
无术中或术后并发症。病人在术后12天出院。12个月后随访CT示骨折融合,未见固定不稳的征象。
案例2
数据及检查结果
2015年7月,一名54岁的男性患者来我院就诊,诊断为隐匿反向齿状突III型骨折,后脱位达4mm。采用颈围固定效果不佳,骨折不愈合。患者主诉以颈部疼痛和严重头晕为主,颈椎屈伸可使症状加重。在突然运动时,患者诉四肢有触电样感觉。颈椎功能x线提示后伸时存在2毫米进一步加重的背侧脱位。
手术实施
首先,为了进一步安全搬运和充分的术中固定对患者采用Halo架外固定。我们最初计划进行后路寰枢椎固定,但患者在俯卧位出现低血压和低氧饱和度。考虑到并发症的高风险性,我们尝试进行经齿状突固定。采用标准的左侧下颌下入路,并辅以骨折周围纤维组织的去除。
然而,我们尝试复位不成功,无法进行经齿状突融合。因此,我们实施了前路经关节固定技术,左侧螺钉的置入采用Reindl方法。在同一侧,另一颗螺钉采用对侧螺钉路径,并最终置入寰椎右侧侧块(图4)。该病例同样采用空心皮质拉力螺钉(直径4mm;分别使用了22毫米和38毫米的长度)。
图4
图4案例2术后x线影像及CT扫描;a、开口位的x光片;b、侧位x光片,我们继续观察到寰枢关节复合体的背脱位高达4毫米;c、C2椎体螺钉位置;d、螺钉在C1椎体的位置;CT,计算机断层扫描
无术中或术后并发症。病人术后7天出院。术后1年后的随访研究显示,尽管手术中准确地切除了疤痕组织,但在部分碎片脱位的区域没有发生骨融合。然而植入物没有发生移位,这种不稳定也没有导致临床症状出现。
目前已经有多种寰枢椎融合技术被报道。Magerl和Harms报道的技术通常被认为是后路技术中最优的方法[7,8]。在所有螺钉固定病例中融合率为93%[9]。这些技术的禁忌症包括椎动脉位置异常、C1-C2后部骨折和C1侧块骨折。在有禁忌症的病例中,前路经关节固定是一种替代Magerl和Harms方法的技术。
迄今已有数种可用的不同的螺钉置钉轨迹的报道[2,4,6]。生物力学研究表明,该种技术具有足够的固定强度,可与后路融合技术相媲美[3,5]。未见手术相关的并发症的文献报道。对侧螺钉固定技术允许将螺钉放置在比皮质层深2-3毫米的C2椎体内,而Reindl[2]和Koller[4]所描述的技术将螺钉在大范围皮质下置入。在C2椎体内更深的位置的螺钉可能更加稳定,然而,这一结论还没有被生物力学研究证实。
在对侧固定时,螺钉可以放置在C1侧块的任何区域,而其他方法则建议必须将螺钉插入C1侧块的后方。因此,如果该区域发生骨折,就限制了其他技术的应用。Ji的方法[6](即交叉螺钉固定联合Reindl技术)允许采用小切口的单侧入路进行固定,而Koller方法需要双侧切开置钉手术。
在病例1中,患者被诊断为不稳定的C1骨折。患者右侧椎动脉的位置和较小的C2椎弓根使我们无法进行任何类型的寰枢椎后路固定融合,也无法进行持续Halo架固定。为了保留颈椎的活动性,我们不采取枕颈融合或额外的C3固定。由于侧块骨折的原因,无法进行常规的前路寰枢关节Reindl和Koller固定技术。
由于无其他经关节内固定方法可选,唯一可行且符合逻辑的将螺钉置入右侧侧块前1/3的方法是从左至右的对侧交叉螺钉固定,我们进行了这一手术。由于螺钉插入轨迹交叉,Koller方法不适用于左侧关节。而左侧C2侧块前缘明显变薄,导致Reindl技术不可行。因此,另一侧寰枢侧块关节固定使用常规Magerl技术。
在病例2中,患者由于合并心脏疾患无法俯卧。而且即使在齿状突骨折的瘢痕组织切除后,通过左侧下颌下入路也无法使寰枢椎脱位得到充分复位。此外,经齿状突融合也无法进行。
因此,我们采用前路经关节螺钉固定技术,利用先前建立的左侧下颌下入路进行固定,并使用Reindl技术固定左侧C1-C2关节。Reindl方法和对侧交叉螺钉固定方法均适用于右侧侧块关节。我们采用对侧交叉螺钉固定,是因为可以插入更长的螺钉(38mm vs. 20-22mm),并在C2椎体内有更深的钉道。同时,我们也借鉴了先前病例的良好骨融合效果。
在两个病例中,对侧交叉螺钉固定均没有任何并发症,并提供了C1-C2节段良好的稳定。
由于病人的解剖特征而无法进行俯卧或合并其他疾患而无法实现后路寰枢椎固定融合的情况下,C1和C2椎体的前路经关节内固定是恢复上颈椎稳定的另一种方法。如果必须将螺钉置入寰椎侧块的前三分之一处,可采用对侧交叉经关节内固定。此外,如果使用Reindl技术插入一侧螺钉,而通过对侧交叉螺钉固定技术插入另一侧螺钉,这种类型的固定可通过一侧入路完成。然而,对侧交叉经关节固定的稳定性和刚度还需要进行更多的生物力学研究验证。
Anterior transarticular C1–C2 fixation with contralateral screw insertion a report of two cases and technical note
Abstract
Purpose Anterior transarticular fixation of the C1–C2 vertebrae is a well-known technique that involves screw insertion through the body of the C2 vertebra into the lateral masses of the atlas through an anterior transcervical approach. Meanwhile, contralateral screw insertion has been previously described only in anatomical studies.
Methods We describe two case reports of the clinical application of this new technique.
Results In Case 1, the patient was diagnosed with an unstable C1 fracture. The clinical features of the case did not allow for any type of posterior atlantoaxial fusion, Halo immobilization, or routine anterior fixation using the Reindl and Koller techniques. The possible manner of screw insertion into the anterior third of the right lateral mass was via a contralateral trajectory, which was performed in this case. Case 2 involved a patient with neglected posteriorly dislocated dens fracture who could not lie in the prone position due to concomitant cardiac pathology. Reduction of atlantoaxial dislocation was insufficient, even after scar tissue resection at the fracture, while transdental fusion was not possible. Considering the success of the previous case, atlantoaxial fixation was performed through the small approach, using the Reindl technique and contralateral screw insertion.
Conclusions These two cases demonstrate the potential of anterior transarticular fixation of C1–C2 vertebrae in cases where posterior atlantoaxial fusion is not achievable. This type of fixation can be performed through a single approach if one screw is inserted using the Reindl technique and another is inserted via a contralateral trajectory.
Keywords Anterior transarticular C1–C2 fixation, Atlantoaxial instability, Contralateral screw insertion, Jefferson fracture, Neglected dens fracture
Introduction
Anterior transarticular fixation of the C1–C2 vertebrae is a well-known technique first described in 1998 by Lu et al., providing the anatomical foundations for this technique[1]. This method details screw insertion through the body of the C2 vertebra into the lateral masses of the atlas through an anterior transcervical approach. The first clinical application was reported by Reindl et al[2], whereby surgeons used short screws and performed the insertion through the point below the anterior lip of the C2 lateral mass. In 2005, Sen et al. conducted a biomechanical study, which demonstrated the high stability of anterior transarticular fixation and a slight reduction in fusion rigidity in flexion–extension tests[3]. The technique reported by Koller et al. in 2006[4] outlined the success of screw insertion placement in the vicinity of the C2 pinafore. This allows for the insertion of longer screws than the technique described by Reindl et al[2]. Lapsiwala et al. demonstrated no significant difference in rigidity of anterior and posterior transarticular fixations[5].
In 2015, Ji et al. reported the results of a cadaveric study and demonstrated a third option for screw insertion trajectory during anterior transarticular fixation[6]. The entry point was located on the anterolateral surface of the C2 body, 5mm cranially and more lateral from the midline. The direction of screw insertion was oriented towards the opposite lateral mass through the whole body of the C2 vertebra. This entry point location allowed for the insertion of another shorter screw into the homolateral mass of the atlas via the same approach. To date, there has been no report on the clinical application of this technique in the literature.
We hereby present two case reports outlining the clinical application of anterior contralateral fixation in patients who underwent surgery in 2014 and 2015, respectively.
Case reports
Case 1
Data and examination
A 50-year-old man was admitted to our department in May 2014 after a car accident. Cervical spine computed tomography (CT) scans revealed multiple fractures in the anterior and posterior arcs of the atlas and abruption of the posterior third of its lateral mass (Fig.1,left). Clinical symptoms included severe cervical pain that increased dramatically when the patient moved his head; otherwise, he was neurologically intact. The concomitant traumatic brain injury, linear fracture of the left frontal and temporal bones, and soft tissue wound on the head prevented us from using the Halo device for an extended period of time. Initially, we planned to perform C1-C2 fixation using the Harms technique and fusion of the shattered lateral mass of the atlas with a screw. However, the patient’s anatomical characteristics prevented this. The location of the vertebral artery on the right side of the C2 vertebra made it impossible to perform transarticular fusion on that side. The small size of the C2 right pedicle, pars interarticularis, and arc also made it impossible to use the posterior screw fixation technique of C1–C2 on the right side (Fig.1,right). Due to these limitations, the combined anteroposterior atlantoaxial fixation technique with contralateral screw insertion (Fig.2) and Magerl trajectory[7]was performed.
Fig. 1 Case 1: pre-operative CT scan of the cervical spine. Left multisplintered fracture of the C1 vertebra. Right thinning pedicle, arc, and parsarticularis of the C2 vertebra as well as bilateral thinning of the anterior lip of the C2 lateral mass. CT computed tomography
Fig. 2 Schematic representation of the contralateral trajectories of screw insertion during anterior transarticular fixation of C1–C2. Anteroposterior (left figure) and lateral (right figure) views are shown here
Surgery
First, we used the Halo device for head fixation whilst the patient was in the supine position. One of the Halo pins was placed according to the location of the skull fracture and skin wound. For this reason, we fixed the Halo using only three pins, which allowed us to reposition appropriately and achieve immobilization during surgery. Reduction of the vertical atlantoaxial dislocation was performed using traction. Skin incision for contralateral screw insertion was planned using transoral radiography. A K-wire was attached according to the screw insertion trajectory. The intersection between the K-wire line and the medial edge of the sternocleidomastoid muscle indicated the midpoint of skin incision. The left anterior bar of the Halo device was temporally removed to facilitate approach performance during contralateral fixation. The left transcervical approach to the base of the C2 vertebra was performed through a 2cm skin incision. A port for the cannulated instrument was placed near the lower edge of C2, 5mm lateral from the midline. K-wire was inserted through the lower edge of C2 into the opposite lateral mass of the atlas under two-plane X-ray control (Fig.3a). This K-wire was used for bone tunnel drilling. A cannulated self-tapping cortical lag screw (4mm in diameter and 38mm in length) was inserted through this tunnel. The position of the screw head in the C2 vertebra facilitated fixation of the left lateral joint using the Reindl method; however, significant, bilateral thinning of the anterior lip of the C2 lateral mass (CT data; Fig.1,right) prevented us from using this technique. While using the Halo device, the patient was subsequently turned over into the prone position, and a left-sided unilateral transarticular fixation using a cannulated self tapping cortical lag screw (4mm in diameter and 40mm in length) was performed using the standard technique[7] (Fig.3b). Control X-ray images and CT data are provided in Fig.3c, d. Following surgery, the Halo device was removed.
Fig. 3 Case 1: X-ray images of the fixation stages and control CT scan. a K-wire insertion into the right lateral mass using a contralateral trajectory. b Left-sided unilateral posterior transarticular fixation. c Control X-ray in the transoral plane. d CT scan control after screw insertion (axial plane). Screws are located in the lateral masses of the atlas on both sides and are bicortical on the left side. CT computed tomography
Post-operative period
No intra- or post-operative complications were observed. The patient was discharged 12 days after surgery. CT scan at 12 months follow-up revealed fracture fusion, with no signs of fixation inconsistency observed.
Case 2
Data and examination
A 54-year-old man presented to our institute in July 2015 with a diagnosis of neglected rostral type III fracture of the odontoid process with posterior dislocation reaching 4mm. The immobilization that was performed using a collar was ineffective, which resulted in fracture nonunion. The patient’s complaints included mainly neck pain and severe dizziness that increased after cervical flexion and extension. During abrupt movement, the patient described an electric-like feeling in all limbs. Functional X-ray of the cervical spine revealed further 2mm fragment dorsal dislocation during extension.
Sugery
First, the Halo device attachment was performed for further safe rotation of patient and adequate intraoperative immobilization.We initially planned to perform posterior atlantoaxial fixation; however, the patient exhibited low blood pressure and a decrease in oxygen saturation in the prone position. Considering the high risk of complications, we tried to perform transdental fixation. A standard left-sided submandibular approach was performed, which was complemented by fibrous tissue removal around the fracture. However, our attempts to reduce the dislocation were unsuccessful, therefore, it was impossible to perform the transdental fusion. As a result, the anterior transarticular fixation technique was performed. Insertion of the left screw was performed using the Reindl method. Another screw was inserted into the right lateral mass using a contralateral trajectory through the same approach (Fig.4). Cannulated self-tapping cortical lag screws (4mm in diameter; 22mm and 38mm in length) were used.
Fig. 4 Case 2: post-operative X-ray images and CT scans. a Control X-ray in the transoral plane. b Control X-ray in the lateral plane. We continued to observe dorsal dislocation of the atlantoaxial complex by up to 4 mm. c Screw position in C2 vertebra. d Screw position in C1 vertebra. CT computed tomography
Post-operative period
No intra- or post-operative complications were observed. The patient was discharged 7 days after surgery. Follow-up studies 1 year after surgery revealed no bone fusion in the area with partially dislocated fragments, despite accurate resection of scar tissue during surgery. However, the implants were not dislocated, and there were no clinical symptoms of unstable fixation.
Discussion
Various methods of atlantoaxial fusion have been described. Methods outlined by Magerl and Harms are typically regarded as the optimal approaches among dorsal techniques[7,8]. The incidence of fusion formation among all cases of screw fixation is 93%[9]. Contraindications for these techniques include the aberrant location of vertebral arteries, fractures of C1–C2 posterior structures, and fractures of C1 lateral masses. In cases with contraindications, anterior transarticular fixation is an alternative to the Magerl and Harms methods. Several available screw insertion trajectories have been reported to date [2,4,6]. Biomechanical studies have demonstrated the adequate rigidity of this fixation, comparable to posterior fusion techniques [3,5]. No complications associated with the surgical technique have been reported in the literature. Contralateral fixation allows for placement of the screw inside the C2 vertebra 2–3mm deeper than the cortical layer, while the techniques described by Reindl[2] and Koller[4] involve insertion of the screw subcortically over a large area. A deeper position of the screw in the C2 vertebra may be more stable, however, this has not yet been demonstrated through biomechanical studies. A screw can be placed in any area of the C1 lateral mass during contralateral fixation, while the other methods suggest that the screw must be inserted into the rear part of the C1 lateral mass. As a result, this method restricts the application of other techniques if the fracture is located in this area. The Ji method[6] (i.e.,contralateral fixation combined with the Reindl technique) allows for fixation using a small unilateral transcervical approach, while the Koller method requires bilateral surgery.
In Case 1, the patient was diagnosed with an unstable C1 fracture. The right-sided location of the vertebral artery and the small-sized C2 pedicles prevented us from performing any type of posterior atlantoaxial fusion. Continuous Halo fixation was also contraindicated. To preserve the mobility of the cervical spine in this patient, we avoided occipitocervical fusion or additional C3 fixation. Routine anterior fixation using the Reindl and Koller techniques for the right lateral atlantoaxial joint were also unsuitable due to the characteristics of the lateral mass fracture. As no alternative methods of transarticular fixation were available, the only possible and logical way of screw insertion into the anterior third of the right lateral mass was a contralateral trajectory from left to right, which we performed. The Koller technique was unsuitable for the left lateral joint due to crossing of the screw insertion trajectories. Significant thinning of the anterior lip of the C2 lateral mass at the leftside resulted in the Reindl technique being unsuitable. Therefore, another atlantoaxial joint was fixed using routine Magerl technique.
In Case 2, the patient could not lie in the prone position due to concomitant cardiac pathology. Reduction of the atlantoaxial dislocation was insufficient, even after scar tissue resection at the odontoid process fracture via a left sided submandibular approach. In addition, transdental fusion was not possible. Therefore, anterior transarticular fixation was the method of choice in this case. Fixation was performed using a previously established left-sided submandibular approach. Immobilization of the left lateral C1–C2 joint was performed using the Reindl technique. Both the Reindl and contralateral methods were suitable for the right lateral joint. Contralateral fixation was used since it was possible to insert a longer screw (38mm vs. 20–22mm) and to place the screw deeper into the C2 body. Good orthopedic results that were obtained in a previous case were also considered.
In both cases, contralateral fixation was not associated with any complications, and provided excellent stabilization of the C1–C2 segment.
Conclusion
Anterior transarticular fixation of the C1 and C2 vertebrae is an alternative method of upper cervical stabilization that is applicable in cases where posterior atlantoaxial fusion is not achievable due to anatomical characteristics of the patient, or if a prone position is undesirable due to concomitant diseases or combined injuries. Contralateral transarticular fixation can be applied if the screw has to be inserted into the anterior third of the lateral mass of the atlas. This type of fixation can be performed through a single approach if one screw is inserted using the Reindl technique and another is inserted via a contralateral trajectory. However, additional biomechanical studies of contralateral transarticular.
1. Lu J, Ebraheim NA, Yang H, Heck BE, Yeasting RA (1998) Anatomic considerations of anterior transarticular screw fixation for atlantoaxial instability. Spine 23:1229–1235
2. Reindl R, Sen M, Aebi M (2003) Anterior instrumentation for traumatic C1–C2 instability. Spine 28:E329–E3233
3. Sen MK, Steffen T, Beckman L, Tsantrizos A, Reindl R, Aebi M(2005) Atlantoaxial fusion using anterior transarticular screw fixation of C1–C2: technical innovation and biomechanical study. Eur Spine J 14:512–518
4. Koller H, Kammermeier V, Ulbricht D, Assuncao A, Karolus S,van den Berg B et al (2006) Anterior retropharyngeal fixationC1–2 for stabilization of atlantoaxial instabilities: study of feasibility, technical description and preliminary results. Eur SpineJ 15:1326–1338
5. Lapsiwala SB, Anderson PA, Oza A, Resnick DK (2006)Biomechanical comparison of four C1 to C2 rigid fixation techniques: anterior trans- articular, posterior transarticular, C1to C2 pedicle, and C1 to C2 intralaminar screws. Neurosurgery58:516–521
6. Ji W, Zheng M, Tong J, Huang Z, Chen J, Qu D et al (2015)Feasibility and trajectory study of anterior transarticular crossing screw placement for atlantoaxial joint instability: a cadaveric study and description of a novel technique. Eur Spine J 24:2954–2960
7. Greene KA, Dickman CA, Marciano FF, Drabier JB, Hadley MN, Sonntag VK (1997) Acute axis fractures. Analysis of management and outcome in 340 consecutive cases. Spine 22:1843–1852
8. Jacobson ME, Khan SN, An HS (2012) C1–C2 posterior fixation: indications, technique, and results. Orthop Clin N Am 43:11–18
9. Elliott RE, Tanweer O, Boah A, Morsi A, Ma T, Frempong-BoaduA et al (2014) Outcome comparison of atlantoaxial fusion with transarticular screws and screw-rod constructs: meta-analysis and review of literature. J Spinal Disord Tech 27:11–28
声明:此文内容及图片由供稿单位提供,仅供学习交流,不代表骨科在线观点。
版权声明:我们致力于保护作者版权,注重分享,被刊用文章【骨科疑难病例讨论案例(前路经寰枢关节交叉螺钉固定技术)】因无法核实真实出处,未能及时与作者取得联系,或有版权异议的,请联系管理员,我们会立即处理! 部分文章是来自自研大数据AI进行生成,内容摘自(百度百科,百度知道,头条百科,中国民法典,刑法,牛津词典,新华词典,汉语词典,国家院校,科普平台)等数据,内容仅供学习参考,不准确地方联系删除处理!;
工作时间:8:00-18:00
客服电话
电子邮件
beimuxi@protonmail.com
扫码二维码
获取最新动态
